クマ取り
PR

新宿でクマ取りができるメンズにおすすめのクリニック26院!

新宿 クマ取り メンズクリニック
  クリニック画像

TCB東京中央美容外科 新宿三丁目院

クリニック画像

湘南美容クリニック

クリニック画像

ガーデンクリニック

特徴

気になるクマを即日時短で解決

切らないクマ取り施術を提供

クマ消しと肌質改善を同時に実現

クリニックHPへ

1回の治療で半永久的に効果あり

麻酔付きだから痛みが苦手な人も安心

お得なモニター価格あり

 

クリニックHPへ

20%OFFのお得なクーポンあり

傷跡が目立たないクマ取り治療を提供

最大84回払い可能の医療ローンあり

クリニックHPへ

クマ取り再生注射

目の下の切らないクマ・たるみ(ふくらみ)取り 眼窩脂肪取り放題パーフェクトコース(3ヶ所) 

脱脂治療

ニュープレミアムオートファイバー注入法 

注入治療

9,800円~

63,280円~

165,000円~

無料

無料

無料

105院

220院

8院

新宿でクマ取り治療ができるメンズにおすすめの人気クリニックや美容皮膚科ご紹介します。

目の下のくま、たるみの改善に人気の施術で、黒クマ・茶クマ・青クマにも効果があります。

治療メニューや手術方法は様々ですので、値段や口コミなどを参考に自分に合ったクリニックを選んでください。

TCB東京中央美容外科 新宿三丁目院

新宿エリアで満足度一位のクリニックの院長は、年間1,000件以上の症例を持つ実力派ドクターです。目の下の「たるみ」「ふくらみ」「黒クマ」は眼窩脂肪が前に出ている状態で、美容液やマッサージでは改善が難しく、メイクで隠すのも困難です。TCBの切らない目の下のたるみ・クマ取りで、効果的に解決できます!

クリニックの様子
クリニックの様子
クリニックの様子

TCB東京中央美容外科 新宿三丁目院のクマ取りの値段

  • クマ取り再生注射
    9,800円
  • 切らない目の下のクマ取り・目の下のたるみ(ふくらみ)取り スタンダード
    83,600円
  • 目の下(くぼみ)のヒアルロン酸注射
    19,200円
もっと見る
閉じる︿
  • 施術種類
    注射、経結膜脱脂肪術、脱脂法
    支払い方法
    現金、クレジットカード、デビットカード、QR決済、医療ローン

TCB東京中央美容外科 新宿三丁目院の クマ取りの口コミ

(4.0)
ずっと気になってた目の下のクマ取りをこちらでお願いしました。治療パターンをいくつか提示してくださり、非常に助かりました。素早い対処に安心感がありました。
(4.0)
初めてカウンセリングして頂きました。ずっと気になっていたクマの施術をお願いすることにしました。女性スタッフの方々も親身かつ丁寧で、時にはフレンドリーに接してくださり、緊張し過ぎずにお話しすることができて本当に有難かったです。施術中も先生をはじめ、全てのスタッフの皆さんがとても気遣ってくださり、不安なく終えることができました。
(4.0)
クマ取りが終了して、職場の人からも若くなったねと言われることが増えました。自分でも実感していてモチベに繋がっているので課金して良かったなあと思います。安い買い物ではないですが、悩んでいるなら結構変わるのでオススメです。ここの方々みなさん感じがいいので、安心して施術を受けられますよ。
もっと見る
閉じる︿

TCB東京中央美容外科 新宿三丁目院のクマ取りの症例

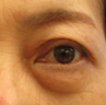
Before
After
症例の詳細を見る
閉じる
【施術名】
切らない目の下のクマ取り
【施術詳細】

下眼瞼の内側を数ミリ切開して、余分な脂肪を取り除きクマを改善する施術

【価格】
83,600円(税込)
【副作用・リスク】

施術後より痛み、腫れ、かゆみ、などが生じる

湘南美容クリニック新宿南口院

クマ取り治療をお考えの方にお勧めのクリニックで、目元治療を得意とする女性院長が在籍しています。湘南美容クリニックの「目の下の切らないクマ・ふくらみ(たるみ)取り」は、113,000円で過剰な目袋脂肪をスッキリ取り除きます。適切な量の脂肪を取り除き、老け見えを解消する治療は1回で済み、半永久的な効果が期待できます。悩んでいた目元と翌週にはサヨナラです!

クリニックの様子
クリニックの様子
クリニックの様子

湘南美容クリニック新宿南口院のクマ取りの値段

  • 目の下の切らないクマ・たるみ(ふくらみ)取り 眼窩脂肪取り放題パーフェクトコース(3ヶ所)
    モニター価格 63,280円
  • 目の下の切らないクマ・たるみ(ふくらみ)取り +SBCリッチフェイス(目の下)
    モニター価格 167,230円
  • 目の下の切らないクマ・たるみ(ふくらみ)取り +コンデンスリッチフェイス(目の下)
    モニター価格 224,980円
もっと見る
閉じる︿
  • 施術種類
    脱脂、脂肪注入
    支払い方法
    現金、デビットカード、クレジットカード、医療ローン

湘南美容クリニック新宿南口院の クマ取りの口コミ

(4.0)
限定でクマ取りのモニターが安くなると聞き、治療を受けた。当初は、追加施術等をして料金を上乗せするのではないかと半信半疑ではあったが、そんなことはなく、安心できた。
(4.0)
当初、クマ取り系の別の施術で檜山先生のカウンセリングを予約していましたが、最終的に檜山先生にご提案いただいたハムラリフトに決めました。カウンセリングでは術後のダウンタイム、効果、費用面など檜山先生から丁寧にご説明していただき、また檜山先生にご担当いただけることに安心感があったことが決め手になりました。手術については先生に、手術とは別の金額や他の細かいこと(ダウンタイムの過ごし方や注意点など)はカウンセラーさんという感じです。良心的で安心できるクリニックだと思います。
(4.0)
檜山院長が好きで前の勤務院からお世話になってます。必要な施術と不要な施術をはっきり教えてくれるところと、柔らかくお話しされるところが大好きです。もちろんクマ取り施術も満足する仕上がりです。クリニック自体もとても綺麗で、カウンセラーさんの対応含め不快な思いをしたことは一度もありません。
もっと見る
閉じる︿

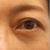
湘南美容クリニック新宿南口院のクマ取りの症例

Before
After
症例の詳細を見る
閉じる
【施術名】
目の下の切らないクマ取り
【施術詳細】

下瞼の内側を切開し、余分な脂肪を除去しクマを改善する施術

【価格】
113,000円(税込)
【副作用・リスク】

施術後より痛み、腫れ、むくみ、かゆみ、発赤が生じまれに創部感染がおこる

ガーデンクリニック 新宿院

プチ整形や脂肪吸引など多様な施術を行っているクリニックです。美容整形に興味があるけれど手術に不安がある方も安心して受けられるメニューが豊富です。目の下のクマには、脂肪を採取し注入する方法があり、膨らみの下に影ができる黒クマには「下瞼脱脂法」と組み合わせることで、より明るくハリのある目元に改善します。

クリニックの様子
クリニックの様子
クリニックの様子

ガーデンクリニック 新宿院のクマ取りの値段

  • ニュープレミアムオートファイバー注入法
    253,000円
  • 下瞼脱脂法
    165,000円
  • クマ治療コンプリート法
    385,000円
もっと見る
閉じる︿
  • 施術種類
    注入法、下瞼脱脂法
    支払い方法
    現金、クレジットカード、医療ローン

ガーデンクリニック 新宿院の クマ取りの口コミ

(4.0)
彼女の紹介で何度か利用したことがある。最初から最後まで丁寧な対応、カウンセリングで安心感があった。クマ取りで定期的に通院していたが、悩んでいたクマもなくなった。
(4.0)
初めてのクマ取り施術で不安が大きかったですが、相談時からよくお話をして頂き、安心できました。こちらは先生の診察も始めから終わり、術後経過観察までしっかりされているのでそれもとても安心です。術後状態もまだ形成途中ですが、順調で、今後が楽しみです。
(4.0)
医師による説明もとても丁寧で、安心してクマ取りの施術を受けることができました。フォローアップ診察でも毎回小さな不明点を優しく回答頂けますし、おススメのクリニックです。相談ベースでも気軽に問い合わせが可能と思います。
もっと見る
閉じる︿

ガーデンクリニック 新宿院のクマ取りの症例

Before
After
症例の詳細を見る
閉じる
【施術名】
下瞼脱脂法
【施術詳細】

下瞼の内側から余分な脂肪を除去しクマを改善する施術

【価格】
330,000円(税込)
【副作用・リスク】

施術後より腫れ、内出血、かゆみなどが生じる

東京美容外科 新宿院

院長は形成外科専門医の資格を持ち、さまざまな治療法を提案できます。傷跡が綺麗で回復も早いと好評です。目の下の「膨らみ」に対する基本的な治療は、突出した眼窩脂肪を取り除くことです。経結膜アプローチ法では、まぶたの裏側から小さな穴をあけて脂肪を取り出し、皮膚を切らないため傷口が見えません。

クリニックの様子
クリニックの様子
クリニックの様子

東京美容外科 新宿院のクマ取りの値段

  • 経結膜アプローチ法 両目
    275,000円
  • 目の下のたるみ取り(ハムラ法) 両目
    440,000円
  • 目の下の脂肪再配置(裏ハムラ法) 両目
    605,000円
もっと見る
閉じる︿
  • 施術種類
    経結膜アプローチ法、ハムラ法、裏ハムラ法
    支払い方法
    現金、クレジットカード、デビットカード、医療ローン

東京美容外科 新宿院の クマ取りの口コミ

(4.0)
色々な先生がいますが、どの先生もクマ取り治療の説明をしっかり行い、分かりやすいです。また、手術の手際も良いので時間ない中でも通院しやすいです。
(4.0)
ずっと悩んでいた目の下のクマ取りをこちらで行いました。痛みもないし術後のケアも素晴らしくて大手のこちらでやって本当に良かったです。料金は驚くほど安くとは行かなくても、納得の施術内容でとても満足しています。ダウンタイムも電話で親切に対応してくれて、不安なら診察にきてくださいねと促してくれ安心できました。
(4.0)
冨田先生にクマ取りをしていただきました。看護師さんやスタッフの方々もとても親切で安心して毎回通えています。麻酔科の先生もとても優しくて手術時にとても安心できました。術後1週間ですが痛みも引いてきて仕上がりが楽しみです。
もっと見る
閉じる︿
  • 住所
  • アクセス
    新宿駅から徒歩30秒、新宿駅から徒歩3分
  • 定休日
    なし
  • 営業時間
    10:00~19:00
  • 電話番号
  • 診療形式
    自由診療
  • オンライン診療
    なし
  • 東京美容外科 新宿院の院長
    安田 康祐 医師

水の森美容クリニック 新宿院

どんな悩みに対しても治療が出来るよう、豊富な治療メニューと高い技術力を持った医師たちが在籍しています。患者の立場に立ち、効果のある治療のみしか提案しません。

クリニックの様子
クリニックの様子

水の森美容クリニック 新宿院のクマ取りの値段

  • 目の下の脂肪取り
    214,500円
  • ハムラ法
    394,900円
  • 裏ハムラ法
    416,900円
もっと見る
閉じる︿
  • 施術種類
    脱脂、ハムラ法、裏ハムラ法
    支払い方法
    現金、振り込み、クレジットカード、医療ローン

水の森美容クリニック 新宿院の クマ取りの口コミ

(4.0)
初めての美容クリニックでしたが、カウンセリングでは納得いくまで説明と治療の提案をしてくれたので安心感がありました。友人からここを教えてもらって正解でした。
(4.0)
2週間ほど前にクマ取りの施術をしていただきました。当日急遽施術をお願いすることになったにも関わらず、とても丁寧にご対応いただき本当にありがとうございました。先生をはじめ、カウンセラーの里さん、看護師の中川さんが優しく接してくださり、とても安心して施術を受けることができました。
(4.0)
1ヶ月前過ぎにクマ取りの施術を受けさせてもらいました。受付の方も看護師さんも先生もみんな優しく雰囲気が良かったです。また施術前は緊張していましたが優しい声を何度もかけてくださったり、施術中ではほとんど痛みがなく、腫れも全くありませんでした。
もっと見る
閉じる︿

水の森美容クリニック 新宿院のクマ取りの症例

Before
After
症例の詳細を見る
閉じる
【施術名】
裏ハムラ法
【施術詳細】

下瞼の内側から切開し、クマの原因となる脂肪を取り除き症状を改善する施術

【価格】
416,900円(税込)
【副作用・リスク】

施術後より、痛み、腫れ、むくみ、目の違和感、発赤、まれに創部感染がある

BELINDA CLINIC(べリンダクリニック)新宿院

院長は二重整形で有名なドクターで、クマ取りと二重を組み合わせた治療が人気です。芸能人からも信頼されているクリニックで安心です。目の下のクマは若い世代でも、暗い表情や疲れた印象を与える原因となります。眼窩脂肪を除去することで、明るい表情を取り戻せます。20代でも先天的に目の下の脂肪が多い方や眼輪筋が弱い方は、クマができやすいですが、クマ取りを行うことで涙袋も目立ち、愛らしい目元に変わります。

クリニックの様子
クリニックの様子
クリニックの様子

BELINDA CLINIC(べリンダクリニック)新宿院のクマ取りの値段

  • 目の下の切らないクマ取り スタンダード
    83,600円
  • 目の下の切らないクマ取り BELINDA style
    272,000円
もっと見る
閉じる︿
  • 施術種類
    経結膜脱脂法、脂肪注入
    支払い方法
    要問合せ

BELINDA CLINIC(べリンダクリニック)新宿院の クマ取りの口コミ

(4.0)
目元の治療が人気のあるこちらで脱脂をお願いしました。現在ダウンタイム中ですが、経過は良好でクマが綺麗に取れているので助かりました。
(4.0)
医師限定モニターでクマ取りをリーズナブルにやっていただきました。正確には麻酔などのオプションが入りましたが、十分満足できる価格でした。限定モニターの先生も安いから適当になるなんてことはなく、丁寧に診察していただき、仕上がりも綺麗でした。総合的に満足のいく結果です。
(4.0)
クマ取りの相談をしに行こうときめて予約した当日にカウンセリング→施術(裏ハムラ脂肪再配置)していただきました。術後痛みはほぼゼロ、ダウンタイムは片目だけ長く広範囲に内出血が続き不安な時もありましたが、3週間ほどで内出血は完全に消え気になっていたクマもキレイになくなり、本当にやって良かったと思っています。先生の腕は確かで信頼できます。
もっと見る
閉じる︿
  • 住所
  • アクセス
    新宿駅から徒歩3分、西武新宿駅から徒歩4分
  • 定休日
    不定休
  • 営業時間
    10:00~19:00
  • 電話番号
  • 診療形式
    自由診療
  • オンライン診療
    なし
  • BELINDA CLINIC(べリンダクリニック)新宿院の院長
    井上 真梨子 医師

新宿フェミークリニック

肌に負担が少ない最適な治療を案内し、ダウンタイムが短く初めてでも通院しやすいと評判です。丁寧なカウンセリングと診察で、患者様のクマの種類を正しく見極め、オーダーメイド治療を提供します。目元の皮膚は非常にデリケートなので、自己流のケアで症状が悪化する前に、早めにご相談ください。

クリニックの様子
クリニックの様子

新宿フェミークリニックのクマ取りの値段

  • ヒアルロン酸注射1本
    55,000円
  • PRP治療(再生治療) 部分のみ2㏄
    99,000円
  • アクシダーム オーダーメイド治療 保湿・ビタミンC誘導体(顔全体) + 顔全体溶剤1種+ポインティング溶剤1種
    16,500円~
もっと見る
閉じる︿
  • 施術種類
    ヒアルロン酸、PRP治療
    支払い方法
    現金、クレジットカード、メディカルローン

新宿フェミークリニックの クマ取りの口コミ

(4.0)
目元のクマ治療をしたく、母が以前利用したことがあるこちらでお願いした。様々なメニューがあるだけでなく、しっかり効果もあったので良かった。
(4.0)
クマ取りで通いました。施術中は痛みは無いか、体勢は辛くないかなどこちらの様子を丁寧にヒアリングしていただき安心してお任せ出来ます。腫れはやはりありましたが、痛みはさほど気にならずに過ごせました。常にスタッフの皆さん優しく、予約などの対応も丁寧です。いつもありがとうございます。
(4.0)
クマ取りの施術をしました。カウンセリングから施術まで丁寧にしてもらえてとても良かったです。施術中も優しく声掛けしてくれたので痛みも無く終わりました。鏡に映る自分の顔が、若く見えて気分も晴れ晴れしました。大満足です。ありがとうございます。
もっと見る
閉じる︿

品川美容外科 新宿院

ハイレベルなスキルを持つ医師が複数在籍するクリニックでは、施術の仕上がりについて的確で分かりやすいアドバイスが受けられ、安心です。疲れた印象を与える目の下のたるみやクマ、ふくらみはお化粧では隠せない部分で、余分な脂肪を除去し、たるみを改善することで若々しい目元を取り戻せます。

クリニックの様子
クリニックの様子
クリニックの様子

品川美容外科 新宿院のクマ取りの値段

  • 目の下のクマ取り・目下のたるみ(ふくらみ)取り 両目
    108,900円
  • 目の下のふくらみ取りプレミアム 両目
    212,300円
もっと見る
閉じる︿
  • 施術種類
    要問合せ
    支払い方法
    現金、クレジットカード、デビットカード、メディカルローン

品川美容外科 新宿院の クマ取りの口コミ

(4.0)
長年悩まされているクマ治療の相談をした。クマの種類を教えてくれたのでどの治療が合っているかを提示してくれるので非常に助かった。
(4.0)
クマ取りの施術を受けてきました。数日はちょっと腫れたけど、スッと落ち着いてびっくりしました。痛みも全然なくて安心でした。清潔をきちんと管理されているので、トラブルもなく綺麗な目元になり満足しています。とても丁寧で安心感があって、任せてよかったなって思いました。
(4.0)
初めてクマ取りに挑むのに、カウンセリングを予約していましたが先生の臨機応変な対応で、遅刻でも快く受け答えしてくれました。先生も丁寧にお話してくださり、とても好感が持てました。変なオプション追加もなくクマ取りの値段も良心的でした。。仕上がりも満足できたし、対応力も高いレベルのクリニックです。
もっと見る
閉じる︿
  • 住所
  • アクセス
    京王線新宿駅から徒歩1分、JR新宿駅から徒歩3分
  • 定休日
    なし
  • 営業時間
    10:00~20:00
  • 電話番号
  • 診療形式
    自由診療
  • オンライン診療
    なし
  • 品川美容外科 新宿院の院長
    板井 徹也 医師

品川美容外科 新宿院のクマ取りの症例

共立美容外科 新宿本院

大理石でできた綺麗な入口、白を基調とした高級感あふれるラグジュアリーなデザイン、完全個室で対応していきます。手術の際、緊張しないようにBGMも流れています。

クリニックの様子
クリニックの様子
クリニックの様子

共立美容外科 新宿本院のクマ取りの値段

  • 目の下のたるみ取り・クマ取り
    330,000円
  • ヒアルロン酸注入
    107,800円
  • PRP皮膚再生療法 目の下(両側)
    33,000円
もっと見る
閉じる︿
  • 施術種類
    経結膜脱脂法、ハムラ法、裏ハムラ法、ヒアルロン酸、PRP皮膚再生療法
    支払い方法
    現金、デビットカード、クレジットカード、医療ローン

共立美容外科 新宿本院の クマ取りの口コミ

(4.0)
少し前から悩んでいたクマをこちらで治療してから徐々に改善してきたので大変良かったです。どのクマでも基本的に対応してくれるのでクマ取りしたい人にはお勧めできます。
(4.0)
クマ取り直後は腫れ上がっていたのと、大きな左右差があり施術が成功したのかとても不安でしたが、1週間後の濱田先生のカウンセリングにて自身の元々の瞼の開き方に左右差があるためによるもので、腫れも1ヶ月後、3ヶ月後にはさらに落ち着いてくるとすぐに説明を受けることができ、安心することができました。実際も日を追うごとに腫れも左右差も落ち着いていき、ナチュラルで存在感のある目元になったので大変満足しています。細やかなフォローをしていただき、ありがとうございました。
(4.0)
初めてクマ取りの施術を受けました。最初は少し緊張していましたが、とても丁寧にカウンセリングしてくださって安心できました。施術中も痛みの程度をこまめに確認してくれたり、声かけが優しくてリラックスできました。即効性があるのに自然な仕上がりで嬉しかったです。
もっと見る
閉じる︿

新宿TAクリニック

目元や鼻の施術に特化したクリニックでは、カウンセリングに時間をかけ、施術後のイメージを共有してくれるため、要望に合った施術が可能です。加齢により目の下のたるみやクマ、シワが目立ち、老け顔に悩む方が増えています。目元の状態は見た目に大きく影響するため、まぶたのたるみやクマ、シワが気になる場合は、スキンケアだけでなく美容施術による若返りも検討する必要があります。

クリニックの様子
クリニックの様子
クリニックの様子

新宿TAクリニックのクマ取りの値段

  • 下眼瞼脱脂術(目の下のたるみ取り・目の下の脂肪ふくらみ取り)
    モニター価格 79,100円
  • 下眼瞼脱脂術(目の下のたるみ取り・目の下の脂肪ふくらみ取り)+脂肪注入(コンデンスリッチフェイス)
    モニター価格 198,000円
  • 裏ハムラ法
    660,000円
もっと見る
閉じる︿
  • 施術種類
    下眼瞼脱脂術、裏ハムラ法、脂肪注入
    支払い方法
    現金、銀行振込、デビットカード、クレジットカード、医療ローン

新宿TAクリニックの クマ取りの口コミ

(4.0)
他の治療と合わせて目の下のクマ取りの施術を受けました。初めてで緊張していましたが、先生達の感じが良く、安心・納得して施術を受けられました。
(4.0)
希望に沿ったクマ取りの施術など、より良いものもお勧めして下さりとても気持ちの良いカウンセリングをしていただきました。女性の先生ということもあり安心してお任せできました。担当して下さった看護師さんも受付の方もとても丁寧で また来たいと思いました。
(4.0)
新宿TAクリニックで奥津先生にクマ取りの施術をしていただきました。カウンセリング時から親身にお話やアドバイス、施術のご提案をしていただきました。他院で施術をした際、麻酔が効きにくい体質なのかほぼ効いていない状態での施術で効果も薄くトラウマになっていたのですが、しっかりと麻酔も効き痛みもなかったです。施術直後、かなり目元がスッキリされているのを感じます。
もっと見る
閉じる︿

新宿TAクリニックのクマ取りの症例

Before
After
症例の詳細を見る
閉じる
【施術名】
クマ取り
【施術詳細】

下眼瞼の内側から切開し、余分な脂肪を除去しクマを改善する施術

【価格】
79,100円
【副作用・リスク】

施術後より腫れや痛みがあり、数週間内出血がおこる

もとび美容外科クリニック 新宿院

院長は15年以上の経歴があり、高い技術力を持っていると評判があり、症例数も多いです。また、痛みや腫れを最小限にする治療もしっかり案内します。

クリニックの様子
クリニックの様子
クリニックの様子

もとび美容外科クリニック 新宿院のクマ取りの値段

  • 目の下脂肪取り
    モニター価格 162,800円
  • 目の下のたるみとり(裏ハムラ法)
    モニター価格 348,000円
  • 目の下のたるみとり(ハムラ法)
    モニター価格 418,000円
もっと見る
閉じる︿
  • 施術種類
    脂肪除去、脂肪注入、ハムラ法、裏ハムラ法
    支払い方法
    現金、クレジットカード、デビットカード、医療ローン

もとび美容外科クリニック 新宿院の クマ取りの口コミ

(4.0)
インスタ等で症例写真を見た瞬間、ここだったら満足いく治療が出来るかと思い、受診しました。カウンセリングで十分な治療説明があり、丁寧且つ細やかな治療に大変満足です。
(4.0)
クマ取りの施術を受けました。院長先生が執刀してくれましたが、目の印象も良くなって表情が明るくなりとても満足です。術中など確認してくれたり、看護師さんの声掛けもスムーズです。まだ赤みがありますが、今でも綺麗な仕上がりなのでまた利用しようと思います。
(4.0)
3か月前に目の下のクマ取りを受けました。ずっと気になっていた生まれつきの目の下のクマがコンプレックスで、思い切って相談しました。先生が丁寧に術例を見せながら説明してくださったので安心して決断できました。施術自体は静脈麻酔だったので、寝ている間に終わり、目が覚めても痛みはありませんでした。看護師さんが寄り添ってくれたので安心しました。
もっと見る
閉じる︿

もとび美容外科クリニック 新宿院のクマ取りの症例

Before
After
症例の詳細を見る
閉じる
【施術名】
目の下クマとり(裏ハムラ)
【施術詳細】

下瞼の内側より、余分な眼窩脂肪を取り除く施術

【価格】
348,000円(税込)
【副作用・リスク】

施術後より一時的な痛みや腫れが生じる

城本クリニック 新宿院

全国に25院を展開、30年以上の歴史と実績をもつ美容外科です。 経験豊富な医師が安全を第一に考え、施術を行っているので安心できます。

クリニックの様子
クリニックの様子
クリニックの様子

城本クリニック 新宿院のクマ取りの値段

  • 経結膜脱脂
    330,000円
  • 目の下のたるみ取り
    385,000円
もっと見る
閉じる︿
  • 施術種類
    経結膜脱脂法
    支払い方法
    現金、クレジットカード、医療ローン

城本クリニック 新宿院の クマ取りの口コミ

(4.0)
有名なクリニックということもあり、口コミサイトなどを参考に伺いました。初回から看護師さんや先生の対応が丁寧で安心できました。雰囲気も良く、初診でも通院しやすいです。
(4.0)
先生は誠実そうで信頼できそうだと思ったのでクマ取りをおまかせしました。カウンセリングもこれまで色々なクリニックに行きましたが、一番誠実でした。オペ結果ですが、まだダウンタイムですが満足しています。緻密な施術でもこちらを気遣う余裕のある先生で安心しました。腫れが引くのが楽しみです。
(4.0)
クマ取りをお願いしましたが、総じて親身に対応していただきました。担当の看護師さんが待ち時間がなるべく少なくなるように考えてくださったり、次の日仕事と伝えるとなるべく腫れが引く方法を考えてくださいました。医師の先生も質問に答えてくださり、最後も何かあればまた来てくださいととても安心感のある対応でした。
もっと見る
閉じる︿

城本クリニック 新宿院のクマ取りの症例

Before
After
症例の詳細を見る
閉じる
【施術名】
軽結膜脱脂法
【施術詳細】

下瞼の結膜から、眼窩脂肪を取り除きクマを改善する施術

【価格】
330,000円
【副作用・リスク】

施術後より痛み、腫れ、むくみ、かゆみ、まれに内出血がおこる

西新宿杉江中央クリニック

高い技術力を持った医師がしっかり対応するので安心です。痛みのない治療を意識しており、リラックス麻酔を導入しています。術後のアフターサービスも充実しています。

クリニックの様子
クリニックの様子
クリニックの様子

西新宿杉江中央クリニックのクマ取りの値段

  • 経結膜脱脂法
    275,000円
もっと見る
閉じる︿
  • 施術種類
    経結膜脱脂法
    支払い方法
    現金、クレジットカード、ローン、デビット(銀行口座からの翌日引き落とし)

西新宿杉江中央クリニックの クマ取りの口コミ

(4.0)
友人からの紹介を受け、目のクマ取り治療を行いました。術後、1週間程度のダウンタイムがありましたが、その後1ヶ月経った後は腫れも引き、クマもしっかり取れました。
(4.0)
クマ取りをしました。クリニックに入ってまずカウンセリングを受けました。先生によるカウンセリングもきちんとあり、治療や治療後のアフターケアについて丁寧に説明していただきました。その後治療をしていただきました。今後の経過が楽しみです。丁寧な説明と素早い施術が印象的なクリニックでした。
(4.0)
クマ取りの治療を受けました。美容クリニックに行った経験が今までなく不安だったのですが、カウンセリングもしっかり聞いてもらえて、治療もすぐに終わったので経過が楽しみです。麻酔をした箇所は痛みがなかったので思い切って除去しに来てよかったです。ありがとうございました。
もっと見る
閉じる︿

西新宿杉江中央クリニックのクマ取りの症例

Before
After
症例の詳細を見る
閉じる
【施術名】
経結膜脱脂法
【施術詳細】

下眼瞼を切開し、眼窩脂肪を取り除きクマやたるみを改善する施術

【価格】
217,000円(税込)
【副作用・リスク】

施術後より、腫れ、むくみ、痛み、まれに創部感染がある

銀座よしえクリニック 新宿院

目の下のクマ取りは、症状に応じて最短15分で治療が終了します。痛みが少なく、切らずに即効性のある治療のみを提供しています。目元のたるみやしわ、クマは顔の印象を大きく左右し、20代から60代以降の多くの方が悩んでいます。年齢とともに悪化するこれらの症状に対し、当院ではメスを使わず、短時間で効果を実感できるコンビネーション治療をお勧めしています。

クリニックの様子
クリニックの様子

銀座よしえクリニック 新宿院のクマ取りの値段

  • CPC-PRP(高濃度プレミアムPRP)5㏄
    198,000円
  • ヒアルロン酸注入
    55,000円
もっと見る
閉じる︿
  • 施術種類
    肌再生治療、ヒアルロン酸
    支払い方法
    現金、クレジットカード、メディカルローン

銀座よしえクリニック 新宿院の クマ取りの口コミ

(4.0)
妻から教えてもらい、初めて通院を始めたが、とにかく院内の雰囲気が落ち着いているので安心感があった。先生達も優しく、男性の悩みにもしっかり受け答えしてくれるのでとても良い。
(4.0)
クマ取りでお世話になりました。カウンセリングから施術までとても丁寧で、痛みもほとんどなく安心して受けられました。跡も残らずとても綺麗に仕上げていただき、本当に満足しています。先生や看護師さんも優しく、質問にも丁寧に答えてくださったので不安なくお任せできました。
(4.0)
クマを取る施術をしていただきました。初めての治療で不安もあったのですが、担当してくださった看護師さんが丁寧に説明してくださったおかげで安心して施術を受けることができました。腫れも気にならずに、仕事でも気づかれず生活に支障がなかったので大変助かりました。
もっと見る
閉じる︿
  • 住所
  • アクセス
    新宿三丁目駅から徒歩1分、JR新宿駅から徒歩3分
  • 定休日
    なし
  • 営業時間
    【平日】10:00~14:00、15:00~19:00 【土日祝】10:00~14:00、15:00~18:00
  • 電話番号
  • 診療形式
    自由診療
  • オンライン診療
    なし
  • 銀座よしえクリニック 新宿院の院長
    川田 萌香 医師

東京イセアクリニック

患者に寄り添い、専門スタッフがしっかりとしたアドバイスを行っています。また、日本形成外科学会の連携施設に認定されているので安心・安全の治療を受けられます。

クリニックの様子
クリニックの様子
クリニックの様子

東京イセアクリニックのクマ取りの値段

  • 下眼瞼脱脂(経結膜) 両目
    295,000円
  • 裏ハムラ法
    445,000円
  • 表ハムラ法
    545,000円
もっと見る
閉じる︿
  • 施術種類
    脱脂法、ハムラ法、裏ハムラ法
    支払い方法
    現金、クレジットカード、医療ローン

東京イセアクリニックの クマ取りの口コミ

(4.0)
HPにクマ取り治療の症例が男女問わずあり、信頼できると思い、通院を始めました。対応も丁寧なので初めてがここで良かったです。おかげでクマが綺麗になくなりました。
(4.0)
キャンペーンでクマ取り施術をしました。カウンセリングから先生が対応してくださるので安心です。カウンセリングの時に何度も納得するまで完成イメージを打ち合わせできたのが良かったです。仕上がりは大変満足いくものでした。ありがとうございました。
(4.0)
目の下のクマ取りを受けました。初めての施術でしたが、丁寧なカウンセリングのおかげで不安なく挑めました。目の下のふくらみがなくなるだけで全く印象が変わりもっと早く受けていれば良かったです。ダウンタイム中はあったものの、手術をしたことは誰にも気づかれなかったです。受けてほんと良かったです。
もっと見る
閉じる︿

東京イセアクリニックのクマ取りの症例

Before
After
症例の詳細を見る
閉じる
【施術名】
下眼瞼脱脂+除皺術
【施術詳細】

下瞼の下を切開し余分な脂肪と皮膚を切除する施術

【価格】
445,000円 (税込)
【副作用・リスク】

施術後より腫れ、内出血、痛みが生じる

新宿美容外科クリニック 新宿院

新宿に加え、立川・横浜にあるクリニック。それぞれに異なるおすすめプランを用意しています。スタッフは、可能な限り自身も施術を行った経験があるので相談しやすいです。

クリニックの様子
クリニックの様子

新宿美容外科クリニック 新宿院のクマ取りの値段

  • 下まぶたのたるみ取り 脱脂法 両目
    330,000円
  • 脂肪注入法 目の下
    440,000円
  • ハムラ法 両目
    440,000円
もっと見る
閉じる︿
  • 施術種類
    脱脂法、脂肪注入、ハムラ法
    支払い方法
    現金、クレジットカード、医療ローン

新宿美容外科クリニック 新宿院の クマ取りの口コミ

(4.0)
クマ取り治療をしてもらおうと前日の連絡にも関わらず、翌日の予約が出来たので助かりました。カウンセリングも大変丁寧で納得した上で施術を受けられて大満足です。
(4.0)
カウンセリングの方がとても丁寧にクマ取りの説明をしてくださったので、きちんと理解できました。その後施術に入りましたが麻酔を一箇所ごとしっかり打ってくれたので痛みもなく、この箇所だけもう一回必要かな?と言葉を添えてくれたので、術中、術後の不安も無かったです。
(4.0)
初めてこちらのクリニックを利用しましたが、スタッフの皆さんがとても丁寧で安心しました。クマ取りのカウンセリングでは不安な点を一つひとつ説明してくださり、施術中も声をかけながら進めてくれたのでリラックスできました。
もっと見る
閉じる︿
  • 住所
  • アクセス
    新宿三丁目駅からすぐ、JR新宿駅から徒歩5分
  • 定休日
    なし
  • 営業時間
    【月~金】10:00~20:00 【土日祝】10:00~19:00
  • 電話番号
  • 診療形式
    自由診療
  • オンライン診療
    あり

新宿美容外科クリニック 新宿院のクマ取りの症例

Before
After
症例の詳細を見る
閉じる
【施術名】
目の下のたるみ取り(脱脂法)
【施術詳細】

下眼瞼の内側を切開し、眼窩脂肪を取り除きクマを改善する施術

【価格】
330,000円(税込)
【副作用・リスク】

施術後よりむくみ、腫れ、内出血がおこり痛みが生じる

ハナビューティークリニック

2020年7月にオープンしたばかりのクリニックです。患者の希望や個性、年齢、ライフスタイルなどを尊重したうえで治療に臨んでいます。

クリニックの様子
クリニックの様子
クリニックの様子

ハナビューティークリニックのクマ取りの値段

  • 目元のクマ取り
    258,000円
  • 目元のクマ取り+皮膚切除込み
    358,000円
もっと見る
閉じる︿
  • 施術種類
    脱脂法
    支払い方法
    現金、銀行振込、医療ローン、クレジットカード

ハナビューティークリニックの クマ取りの口コミ

(4.0)
口コミサイトで二重埋没やクマ取りが人気もあるということで予約して伺いました。男性でも気軽に通院できる環境が大変助かります。
(4.0)
クマ取りははじめてなので施術の提案についてやモチについてわかりませんが、メリットデメリットまでしっかりと説明してくださったので安心して受けられます。とっても理想的にしていただき、はじめてなので比べる先はありませんが個人的にはとっても満足です。緊張しがちなので丁寧にあやしていただきました。
(4.0)
西新宿杉江中央クリニックでクマの除去をして頂きました。スタッフの皆さんが優しく丁寧に対応してくださったので安心して施術を受けることが出来ました。麻酔の注射はチクっとしましたが、あとは全く痛みがなかったです。
もっと見る
閉じる︿

ハナビューティークリニックのクマ取りの症例

Before
After
症例の詳細を見る
閉じる
【施術名】
目の下のクマ取り
【施術詳細】

下瞼の内側から余分な脂肪を除去しクマを改善する施術

【価格】
258,000円(税込)
【副作用・リスク】

施術後より痛み、腫れ、かゆみ、むくみ、などが生じる

新宿ラクル美容外科クリニック 新宿院

院長をはじめ、在籍しているスタッフが少人数だからこその寄り添った治療が人気があります。100以上の多種多様なメニューを取り揃えています。

クリニックの様子
クリニックの様子
クリニックの様子

新宿ラクル美容外科クリニック 新宿院のクマ取りの値段

  • 切らない目の下のたるみ 両側
    モニター価格 143,550円
  • 目の下の凹み(クマ)ヒアルロン酸注入 ジュビダームビスタ ボリフトXC1本
    70,000円
  • 目の下の凹み(クマ) 脂肪幹細胞注入
    188,430円
もっと見る
閉じる︿
  • 施術種類
    ヒアルロン酸、脂肪注入
    支払い方法
    現金、デビットカード、クレジットカード、医療ローン

新宿ラクル美容外科クリニック 新宿院の クマ取りの口コミ

(4.0)
口コミを見た時、受付の対応が酷いといった内容の書き込みがあったので不安になりながらも伺いました。しかし、皆さん優しく、常に低姿勢で対応してくれるのでホッとしました。
(4.0)
クマ取りは仕上がりも対応も全て大満足です。他のクリニックの先生より圧倒的に上手かったです。お値段は他のクリニックより良心的なのに技術が高いのがとても嬉しいです。腫れや痛みに悩まされることなく、スッキリとした目元になれたので感謝しています。
(4.0)
初めてクマ取りを受けましたがスタッフの方がとても丁寧だったので安心して施術を受けられました。痛みが心配でしたが先生の腕のおかげでほとんど感じませんでした。アフターフォローも丁寧で大変安心できましたし、ダウンタイムも苦しむことなくストレスなく過ごせました。
もっと見る
閉じる︿

新宿ラクル美容外科クリニック 新宿院のクマ取りの症例

Before
After
症例の詳細を見る
閉じる
【施術名】
目の下の切らないクマ取り
【施術詳細】

下眼瞼の内側に小さな穴を開け、脂肪を除去しクマを改善する施術

【価格】
171,050円(税込)
【副作用・リスク】

施術後より腫れ、血腫、痛み、むくみ、アレルギー反応がおこる

SHERIE CLINIC新宿本院

金曜日のみですが、22時まで診療対応しているので仕事が忙しい方でも通院が可能です。また、当日予約も可能です。治療も最適な治療のみしか提案しないので安心です。

クリニックの様子
クリニックの様子
クリニックの様子

SHERIE CLINIC新宿本院のクマ取りの値段

  • たるみ取り(脂肪除去・骨膜固定含む)両目
    657,800円
  • 裏ハムラ 両目
    712,800円
  • 下眼瞼脱脂 目の下 両目
    327,800円
もっと見る
閉じる︿
  • 施術種類
    脂肪除去、ハムラ法、裏ハムラ法、脱脂
    支払い方法
    現金、クレジットカード、メディカルローン

SHERIE CLINIC新宿本院の クマ取りの口コミ

(4.0)
クマ取り治療が気になり、相談だけでもと思い、伺いました。細かな説明をしてくれたおかげで納得して施術を受けられました。施術中も安心できるような声掛けに助かりました。
(4.0)
最初のカウンセリングやクマ取りの施術、ご案内等が的確で丁寧でしたので契約を決めました。皆さん親切で親身になってくださいますので通いやすいです。ダウンタイム中の電話でのフォローも親切で安心して過ごしました。
(4.0)
みなさん気さくにお話ができて、先生たちのクマ取り施術の腕も確かです。眉下切開は本当に綺麗にやっていただけました。ヒアルロン酸もボトックスも本当にバランス良く顔を作ってくれました。おすすめクリニックです。
もっと見る
閉じる︿

SHERIE CLINIC新宿本院のクマ取りの症例

Before
After
症例の詳細を見る
閉じる
【施術名】
下眼瞼脱脂術(くま取り)
【施術詳細】

下瞼の裏側の結膜を切開し、脂肪を取り除きクマを改善する施術

【価格】
327,800円(税込)
【副作用・リスク】

施術後より、痛み、腫れ、むくみ、眼窩周囲の発赤、まれに創部感染がおこる

KM新宿クリニック

治療をするにあたり、患者とのコミュニケーションを大事にしています。そのおかげかリピート率が90%以上ある信頼できるクリニックです。

クリニックの様子
クリニックの様子
クリニックの様子

KM新宿クリニックのクマ取りの値段

  • 下眼瞼脱脂
    308,000円
  • 下眼瞼切開(皮膚のたるみ)
    352,000円
もっと見る
閉じる︿
  • 施術種類
    脱脂
    支払い方法
    現金、クレジットカード、医療ローン

KM新宿クリニックの クマ取りの口コミ

(4.0)
最初から最後まで丁寧な対応に感動しました。肌の変化やクマについてなど知識を分かりやすく解説してくれたので安心できました。
(4.0)
クマ取りで通わせていただいています。気になることがあれば丁寧に相談に乗っていただけるので、とても安心感があります。押し売りのようなことが一切なく、信頼できるクリニックさんだと思います。料金も良心的で対応も親切で、丁寧な説明で恐怖心を解消してくれました。おかげで目のクマ取りも安心して挑めました。
(4.0)
複数の同様のお店に通った結果、こちらKM新宿クリニックはとにかくクマ取りの技術が凄く、他では不可能な細かい部分まで施術してくれます。又お店の雰囲気や綺麗さスタッフさんの対応トータルで一番良いです。料金は格安ではありませんが、妥当もしくは、料金以上の効果ありと私は思います。信用出来るKM新宿クリニックがオススメです。
もっと見る
閉じる︿

新宿エルクリニック

シミ取り治療に特化しているクリニックです。メスを使用しない美容医療を掲げ、治療を案内しているので痛みが苦手な人にお勧めできます。

クリニックの様子
クリニックの様子

新宿エルクリニックのクマ取りの値段

  • サーマクールアイ 225shot
    1回127,400円
  • ヒアルロン酸注入 ジュビダームビスタ ボリューマXC(麻酔入)1CC
    101,900円
もっと見る
閉じる︿
  • 施術種類
    サーマクールアイ、ヒアルロン酸
    支払い方法
    現金、クレジットカード

新宿エルクリニックの クマ取りの口コミ

(4.0)
他のクリニックにはないサーマクールアイを受けたく、こちらに伺いました。初めてで不安でしたが、痛みのない治療に安心しました。効果もしっかりあり、満足です。
(4.0)
店内は清潔感があり、またスタッフの接客がとても丁寧だと思います。クマ取りでお世話になっていますが、施術も丁寧、声掛けもしっかりしてくれます。個人差はあると思いますが、自分は効果ありでした。女医さんの話し方も優しいです。
(4.0)
クマ取りの施術がとてもよかったです。どういう悩みを改善したいのかという希望と見合った施術を色々と説明して下さり、期間や組み合わせ等も教えてくれます。理想の仕上がりにしてくれて、本当に高い技術で施術を行ってくれる安心感があります。
もっと見る
閉じる︿

オザキクリニック LUXE新宿院

新宿という立地ということもあり、都内各地からはもちろん、全国各地・海外からも通院する患者が多数います。美容外科・美容皮膚科・など多角的な医療を提供しています。

クリニックの様子
クリニックの様子
クリニックの様子

オザキクリニック LUXE新宿院のクマ取りの値段

  • 目の下の脱脂 両目
    242,000円
  • ハムラ法(目の下のたるみ取り)
    1回モニター価格  492,800円
  • 目の下のクマ消しショット 初回
    18,700円
もっと見る
閉じる︿
  • 施術種類
    脱脂、ハムラ法、裏ハムラ法、ヒアルロン酸、注射
    支払い方法
    現金、クレジットカード、スマホ決済

オザキクリニック LUXE新宿院の クマ取りの口コミ

(4.0)
目の下のクマやたるみについて相談しに訪問した。年齢を重ねて仕方ないことだと思っていたが、妻から提案され、治療を始めてみたが、綺麗に対処してくれて助かった。
(4.0)
電話での予約確認から、受付、クマ取り施術内容の説明、施術、料金の案内までとても親身になってお話を聞いてくださり安心してお願いすることができました。スタッフの皆様がとても親切かつ丁寧にご対応くださりとても快適に過ごせました。もちろん、経験に基づいた先生のアドバイスは非常に的確であり、心強いものでした。実際の施術も丁寧で満足できました。
(4.0)
すごく対応がいいです。クマ取りでお世話になりました。大事なイベントを控えているため施術を検討しましたが、施術をやらなければならない期日とそれまでに必要となる予算がマッチしなかった、ですが、あまりに対応がいいので、予算を考慮してくれてクマ取りができました。
もっと見る
閉じる︿

オザキクリニック LUXE新宿院のクマ取りの症例

Before
After
症例の詳細を見る
閉じる
【施術名】
ハムラ法
【施術詳細】

下眼瞼の内側を切開し、クマの原因となる眼窩脂肪を除去しクマを治療する施術

【価格】
492,800円(税込)
【副作用・リスク】

施術後より痛みや腫れが生じ、まれに内出血や創部感染がおこる

セレクトクリニック 新宿院

経験豊富な医師ばかり在籍しており、それぞれ得意な治療があります。治療前は必ずリスクや副作用をしっかり伝えてから治療に入るので安心です。

クリニックの様子
クリニックの様子

セレクトクリニック 新宿院のクマ取りの値段

  • 下眼瞼脱脂術 (切らない目の下のたるみ取り)
    220,000円
  • 裏ハムラ法
    440,000円
  • 表ハムラ法
    605,000円
もっと見る
閉じる︿
  • 施術種類
    脱脂、ハムラ法、裏ハムラ法
    支払い方法
    要問合せ

セレクトクリニック 新宿院の クマ取りの口コミ

(4.0)
友人から評判が良いこちらにてクマ取りをお願いしました。施術はあっという間に終わり、ダウンタイムはあまり腫れずにすみました。仕上がりも納得いくもので大変良かったです。
(4.0)
立地は便利で、院内もとても綺麗でした。次の予定も聞いていただき、時間までに終わりますと何度も声掛けしていただきました。クマ取りの施術はとても丁寧で声掛けもたくさんしていただきありがたかったです。効果も抜群で、痛みも忘れるほど喜びの方が勝っています。
(4.0)
ありがとうございました。カウンセリングでは丁寧に悩みに寄り添ってくださる姿が印象的でした。また、クマ取り施術してくださった看護師の方も先生も非常に気さくで充実した時間を過ごすことができました。来てよかったと思います。
もっと見る
閉じる︿

A CLINIC 新宿院

小顔・リフトアップを専門としたクリニックです。男性ドクター・女性ドクターそれぞれ在籍しており、YouTubeなど治療について解説もしています。

クリニックの様子
クリニックの様子

A CLINIC 新宿院のクマ取りの値段

  • 目の下のたるみとり スタンダード ベーシック
    437,800円
  • 目の下の膨らみ取り スタンダード1箇所
    217,800円
もっと見る
閉じる︿
  • 施術種類
    要問合せ
    支払い方法
    現金、クレジットカード

A CLINIC 新宿院の クマ取りの口コミ

(4.0)
長年目の下クマが気になっており、美容外科なら治療できると聞いたのでこちらでお願いしました。今回目の下のふくらみ取りを受けましたが、15分で終わったので驚きました。
(4.0)
クマ取り施術をしました。初めての美容施術でしたが非常に丁寧で細かく教えて下さったため安心して受けられました。1ヶ月ほど経ちましたが経過も満足しています。次回もまたAクリニックさんにお願いしようかなと思っています。
(4.0)
両目のクマ取り施術をしていただきました。術後から2ヶ月経ちましたが自然な仕上がりで、周りからバレることもありませんでした。経過観察で撮った写真を見せてもらいましたが明らかな差があり、施術を受けて良かったなと思いました。先生も気さくな方で質問などしやすかったです。
もっと見る
閉じる︿

A CLINIC 新宿院のクマ取りの症例

Before
After
症例の詳細を見る
閉じる
【施術名】
目の下のふくらみ取り
【施術詳細】

下眼瞼の裏側を数ミリ切開し、クマの原因となっている余分な脂肪を除去する施術

【価格】
217,800円(税込)
【副作用・リスク】

施術後より痛み、腫れ、内出血、目の違和感、左右差などが生じまれに感染がおこる

新宿中央クリニック

院内は白とこげ茶を基調の落ち着いた空間、待合室はプライバシーに配慮し、仕切りを設けているので安心です。全力でより正確・確実にをモットーに治療を実施しています。

クリニックの様子
クリニックの様子
クリニックの様子

新宿中央クリニックのクマ取りの値段

  • 脱脂(脂肪取り) 下まぶた(外側)
    198,000円
  • 下まぶたたるみ取り
    220,000円
もっと見る
閉じる︿
  • 施術種類
    脱脂法
    支払い方法
    要問合せ

新宿中央クリニックの クマ取りの口コミ

(4.0)
目元の治療を受けたく、初めて受診した。待つこと覚悟だったが、待たずに治療までスムーズだった。先生が私の悩みと目の部分をしっかり聞いてくれたので安心した。
(4.0)
平田先生にクマ取りをお願いして、人生が変わりました。クリニックを探している時、平田先生がどれだけ長く、この手術に取り組んでこられたかという実績を知って、ここに決めました。カウンセリングは、私の不安を察してくださって、一つ一つ丁寧に解消してくれました。特に術後のダウンタイムについても、これくらいの変化があるよと具体的に教えてもらえたので、焦らず過ごせました。この丁寧さも、ベテランの先生だからこそだと思います。
(4.0)
クマ取りをお願いしました。結果として、不安だったダウンタイムも乗り越えて、今はとても満足しています。先生は過度な提案をせず、私のクマの状態と希望を冷静に判断してくださったのが決め手でした。手術中も、看護師さんへの指示が的確で、テキパキと進んでいる様子が伝わり、逆に安心できました。仕上がりは、表情が不自然にならない絶妙な仕上がりです。技術力の高い先生に出会えてよかったです。
もっと見る
閉じる︿

ルラ美容クリニック 新宿院

オーダーメイドの施術を得意としているクリニックです。その中でも二重整形・目の下のクマ取り・ヒアルロン酸注入など多くの症例数があり、技術力の高さに定評があります。

クリニックの様子
クリニックの様子
クリニックの様子

ルラ美容クリニック 新宿院のクマ取りの値段

  • 目の下のふくらみ取り スタンダード
    モニター価格 73,370円
  • 目の下のふくらみ取りスタンダード(目の下+ゴルゴラインの脂肪注入)
    モニター価格 220,000円
  • 切開ハムラ法
    モニター価格 440,000円
もっと見る
閉じる︿
  • 施術種類
    脂肪注入、ハムラ法
    支払い方法
    現金、クレジットカード、医療ローン

ルラ美容クリニック 新宿院の クマ取りの口コミ

(4.0)
会社の上司に通っている方から話を聞き、良さそうだったので伺いました。最初から最後までとにかく丁寧な対応に感動しました。理想通りセッ術をしてくれて大満足です。
もっと見る
閉じる︿

ルラ美容クリニック 新宿院のクマ取りの症例

Before
After
症例の詳細を見る
閉じる
【施術名】
目の下のふくらみ取り
【施術詳細】

下眼瞼の余分な脂肪を取り除くことで、クマを改善する施術

【価格】
110,000円(税込)
【副作用・リスク】

施術後より、腫れ、痛み、内出血などがある

TCB東京中央美容外科 新宿三丁目院

新宿エリアで満足度一位のクリニックの院長は、年間1,000件以上の症例を持つ実力派ドクターです。目の下の「たるみ」「ふくらみ」「黒クマ」は眼窩脂肪が前に出ている状態で、美容液やマッサージでは改善が難しく、メイクで隠すのも困難です。TCBの切らない目の下のたるみ・クマ取りで、効果的に解決できます!

クリニックの様子
クリニックの様子
クリニックの様子

TCB東京中央美容外科 新宿三丁目院のクマ取りの値段

  • クマ取り再生注射
    9,800円
  • 切らない目の下のクマ取り・目の下のたるみ(ふくらみ)取り スタンダード
    83,600円
  • 目の下(くぼみ)のヒアルロン酸注射
    19,200円
もっと見る
閉じる︿
  • 施術種類
    注射、経結膜脱脂肪術、脱脂法
    支払い方法
    現金、クレジットカード、デビットカード、QR決済、医療ローン

TCB東京中央美容外科 新宿三丁目院の クマ取りの口コミ

(4.0)
ずっと気になってた目の下のクマ取りをこちらでお願いしました。治療パターンをいくつか提示してくださり、非常に助かりました。素早い対処に安心感がありました。
(4.0)
初めてカウンセリングして頂きました。ずっと気になっていたクマの施術をお願いすることにしました。女性スタッフの方々も親身かつ丁寧で、時にはフレンドリーに接してくださり、緊張し過ぎずにお話しすることができて本当に有難かったです。施術中も先生をはじめ、全てのスタッフの皆さんがとても気遣ってくださり、不安なく終えることができました。
(4.0)
クマ取りが終了して、職場の人からも若くなったねと言われることが増えました。自分でも実感していてモチベに繋がっているので課金して良かったなあと思います。安い買い物ではないですが、悩んでいるなら結構変わるのでオススメです。ここの方々みなさん感じがいいので、安心して施術を受けられますよ。
もっと見る
閉じる︿

TCB東京中央美容外科 新宿三丁目院のクマ取りの症例

Before
After
症例の詳細を見る
閉じる
【施術名】
切らない目の下のクマ取り
【施術詳細】

下眼瞼の内側を数ミリ切開して、余分な脂肪を取り除きクマを改善する施術

【価格】
83,600円(税込)
【副作用・リスク】

施術後より痛み、腫れ、かゆみ、などが生じる

新宿フェミークリニック

肌に負担が少ない最適な治療を案内し、ダウンタイムが短く初めてでも通院しやすいと評判です。丁寧なカウンセリングと診察で、患者様のクマの種類を正しく見極め、オーダーメイド治療を提供します。目元の皮膚は非常にデリケートなので、自己流のケアで症状が悪化する前に、早めにご相談ください。

クリニックの様子
クリニックの様子

新宿フェミークリニックのクマ取りの値段

  • ヒアルロン酸注射1本
    55,000円
  • PRP治療(再生治療) 部分のみ2㏄
    99,000円
  • アクシダーム オーダーメイド治療 保湿・ビタミンC誘導体(顔全体) + 顔全体溶剤1種+ポインティング溶剤1種
    16,500円~
もっと見る
閉じる︿
  • 施術種類
    ヒアルロン酸、PRP治療
    支払い方法
    現金、クレジットカード、メディカルローン

新宿フェミークリニックの クマ取りの口コミ

(4.0)
目元のクマ治療をしたく、母が以前利用したことがあるこちらでお願いした。様々なメニューがあるだけでなく、しっかり効果もあったので良かった。
(4.0)
クマ取りで通いました。施術中は痛みは無いか、体勢は辛くないかなどこちらの様子を丁寧にヒアリングしていただき安心してお任せ出来ます。腫れはやはりありましたが、痛みはさほど気にならずに過ごせました。常にスタッフの皆さん優しく、予約などの対応も丁寧です。いつもありがとうございます。
(4.0)
クマ取りの施術をしました。カウンセリングから施術まで丁寧にしてもらえてとても良かったです。施術中も優しく声掛けしてくれたので痛みも無く終わりました。鏡に映る自分の顔が、若く見えて気分も晴れ晴れしました。大満足です。ありがとうございます。
もっと見る
閉じる︿

オザキクリニック LUXE新宿院

新宿という立地ということもあり、都内各地からはもちろん、全国各地・海外からも通院する患者が多数います。美容外科・美容皮膚科・など多角的な医療を提供しています。

クリニックの様子
クリニックの様子
クリニックの様子

オザキクリニック LUXE新宿院のクマ取りの値段

  • 目の下の脱脂 両目
    242,000円
  • ハムラ法(目の下のたるみ取り)
    1回モニター価格  492,800円
  • 目の下のクマ消しショット 初回
    18,700円
もっと見る
閉じる︿
  • 施術種類
    脱脂、ハムラ法、裏ハムラ法、ヒアルロン酸、注射
    支払い方法
    現金、クレジットカード、スマホ決済

オザキクリニック LUXE新宿院の クマ取りの口コミ

(4.0)
目の下のクマやたるみについて相談しに訪問した。年齢を重ねて仕方ないことだと思っていたが、妻から提案され、治療を始めてみたが、綺麗に対処してくれて助かった。
(4.0)
電話での予約確認から、受付、クマ取り施術内容の説明、施術、料金の案内までとても親身になってお話を聞いてくださり安心してお願いすることができました。スタッフの皆様がとても親切かつ丁寧にご対応くださりとても快適に過ごせました。もちろん、経験に基づいた先生のアドバイスは非常に的確であり、心強いものでした。実際の施術も丁寧で満足できました。
(4.0)
すごく対応がいいです。クマ取りでお世話になりました。大事なイベントを控えているため施術を検討しましたが、施術をやらなければならない期日とそれまでに必要となる予算がマッチしなかった、ですが、あまりに対応がいいので、予算を考慮してくれてクマ取りができました。
もっと見る
閉じる︿

オザキクリニック LUXE新宿院のクマ取りの症例

Before
After
症例の詳細を見る
閉じる
【施術名】
ハムラ法
【施術詳細】

下眼瞼の内側を切開し、クマの原因となる眼窩脂肪を除去しクマを治療する施術

【価格】
492,800円(税込)
【副作用・リスク】

施術後より痛みや腫れが生じ、まれに内出血や創部感染がおこる

共立美容外科 新宿本院

大理石でできた綺麗な入口、白を基調とした高級感あふれるラグジュアリーなデザイン、完全個室で対応していきます。手術の際、緊張しないようにBGMも流れています。

クリニックの様子
クリニックの様子
クリニックの様子

共立美容外科 新宿本院のクマ取りの値段

  • 目の下のたるみ取り・クマ取り
    330,000円
  • ヒアルロン酸注入
    107,800円
  • PRP皮膚再生療法 目の下(両側)
    33,000円
もっと見る
閉じる︿
  • 施術種類
    経結膜脱脂法、ハムラ法、裏ハムラ法、ヒアルロン酸、PRP皮膚再生療法
    支払い方法
    現金、デビットカード、クレジットカード、医療ローン

共立美容外科 新宿本院の クマ取りの口コミ

(4.0)
少し前から悩んでいたクマをこちらで治療してから徐々に改善してきたので大変良かったです。どのクマでも基本的に対応してくれるのでクマ取りしたい人にはお勧めできます。
(4.0)
クマ取り直後は腫れ上がっていたのと、大きな左右差があり施術が成功したのかとても不安でしたが、1週間後の濱田先生のカウンセリングにて自身の元々の瞼の開き方に左右差があるためによるもので、腫れも1ヶ月後、3ヶ月後にはさらに落ち着いてくるとすぐに説明を受けることができ、安心することができました。実際も日を追うごとに腫れも左右差も落ち着いていき、ナチュラルで存在感のある目元になったので大変満足しています。細やかなフォローをしていただき、ありがとうございました。
(4.0)
初めてクマ取りの施術を受けました。最初は少し緊張していましたが、とても丁寧にカウンセリングしてくださって安心できました。施術中も痛みの程度をこまめに確認してくれたり、声かけが優しくてリラックスできました。即効性があるのに自然な仕上がりで嬉しかったです。
もっと見る
閉じる︿

銀座よしえクリニック 新宿院

目の下のクマ取りは、症状に応じて最短15分で治療が終了します。痛みが少なく、切らずに即効性のある治療のみを提供しています。目元のたるみやしわ、クマは顔の印象を大きく左右し、20代から60代以降の多くの方が悩んでいます。年齢とともに悪化するこれらの症状に対し、当院ではメスを使わず、短時間で効果を実感できるコンビネーション治療をお勧めしています。

クリニックの様子
クリニックの様子

銀座よしえクリニック 新宿院のクマ取りの値段

  • CPC-PRP(高濃度プレミアムPRP)5㏄
    198,000円
  • ヒアルロン酸注入
    55,000円
もっと見る
閉じる︿
  • 施術種類
    肌再生治療、ヒアルロン酸
    支払い方法
    現金、クレジットカード、メディカルローン

銀座よしえクリニック 新宿院の クマ取りの口コミ

(4.0)
妻から教えてもらい、初めて通院を始めたが、とにかく院内の雰囲気が落ち着いているので安心感があった。先生達も優しく、男性の悩みにもしっかり受け答えしてくれるのでとても良い。
(4.0)
クマ取りでお世話になりました。カウンセリングから施術までとても丁寧で、痛みもほとんどなく安心して受けられました。跡も残らずとても綺麗に仕上げていただき、本当に満足しています。先生や看護師さんも優しく、質問にも丁寧に答えてくださったので不安なくお任せできました。
(4.0)
クマを取る施術をしていただきました。初めての治療で不安もあったのですが、担当してくださった看護師さんが丁寧に説明してくださったおかげで安心して施術を受けることができました。腫れも気にならずに、仕事でも気づかれず生活に支障がなかったので大変助かりました。
もっと見る
閉じる︿
  • 住所
  • アクセス
    新宿三丁目駅から徒歩1分、JR新宿駅から徒歩3分
  • 定休日
    なし
  • 営業時間
    【平日】10:00~14:00、15:00~19:00 【土日祝】10:00~14:00、15:00~18:00
  • 電話番号
  • 診療形式
    自由診療
  • オンライン診療
    なし
  • 銀座よしえクリニック 新宿院の院長
    川田 萌香 医師

湘南美容クリニック新宿南口院

クマ取り治療をお考えの方にお勧めのクリニックで、目元治療を得意とする女性院長が在籍しています。湘南美容クリニックの「目の下の切らないクマ・ふくらみ(たるみ)取り」は、113,000円で過剰な目袋脂肪をスッキリ取り除きます。適切な量の脂肪を取り除き、老け見えを解消する治療は1回で済み、半永久的な効果が期待できます。悩んでいた目元と翌週にはサヨナラです!

クリニックの様子
クリニックの様子
クリニックの様子

湘南美容クリニック新宿南口院のクマ取りの値段

  • 目の下の切らないクマ・たるみ(ふくらみ)取り 眼窩脂肪取り放題パーフェクトコース(3ヶ所)
    モニター価格 63,280円
  • 目の下の切らないクマ・たるみ(ふくらみ)取り +SBCリッチフェイス(目の下)
    モニター価格 167,230円
  • 目の下の切らないクマ・たるみ(ふくらみ)取り +コンデンスリッチフェイス(目の下)
    モニター価格 224,980円
もっと見る
閉じる︿
  • 施術種類
    脱脂、脂肪注入
    支払い方法
    現金、デビットカード、クレジットカード、医療ローン

湘南美容クリニック新宿南口院の クマ取りの口コミ

(4.0)
限定でクマ取りのモニターが安くなると聞き、治療を受けた。当初は、追加施術等をして料金を上乗せするのではないかと半信半疑ではあったが、そんなことはなく、安心できた。
(4.0)
当初、クマ取り系の別の施術で檜山先生のカウンセリングを予約していましたが、最終的に檜山先生にご提案いただいたハムラリフトに決めました。カウンセリングでは術後のダウンタイム、効果、費用面など檜山先生から丁寧にご説明していただき、また檜山先生にご担当いただけることに安心感があったことが決め手になりました。手術については先生に、手術とは別の金額や他の細かいこと(ダウンタイムの過ごし方や注意点など)はカウンセラーさんという感じです。良心的で安心できるクリニックだと思います。
(4.0)
檜山院長が好きで前の勤務院からお世話になってます。必要な施術と不要な施術をはっきり教えてくれるところと、柔らかくお話しされるところが大好きです。もちろんクマ取り施術も満足する仕上がりです。クリニック自体もとても綺麗で、カウンセラーさんの対応含め不快な思いをしたことは一度もありません。
もっと見る
閉じる︿

湘南美容クリニック新宿南口院のクマ取りの症例

Before
After
症例の詳細を見る
閉じる
【施術名】
目の下の切らないクマ取り
【施術詳細】

下瞼の内側を切開し、余分な脂肪を除去しクマを改善する施術

【価格】
113,000円(税込)
【副作用・リスク】

施術後より痛み、腫れ、むくみ、かゆみ、発赤が生じまれに創部感染がおこる

新宿ラクル美容外科クリニック 新宿院

院長をはじめ、在籍しているスタッフが少人数だからこその寄り添った治療が人気があります。100以上の多種多様なメニューを取り揃えています。

クリニックの様子
クリニックの様子
クリニックの様子

新宿ラクル美容外科クリニック 新宿院のクマ取りの値段

  • 切らない目の下のたるみ 両側
    モニター価格 143,550円
  • 目の下の凹み(クマ)ヒアルロン酸注入 ジュビダームビスタ ボリフトXC1本
    70,000円
  • 目の下の凹み(クマ) 脂肪幹細胞注入
    188,430円
もっと見る
閉じる︿
  • 施術種類
    ヒアルロン酸、脂肪注入
    支払い方法
    現金、デビットカード、クレジットカード、医療ローン

新宿ラクル美容外科クリニック 新宿院の クマ取りの口コミ

(4.0)
口コミを見た時、受付の対応が酷いといった内容の書き込みがあったので不安になりながらも伺いました。しかし、皆さん優しく、常に低姿勢で対応してくれるのでホッとしました。
(4.0)
クマ取りは仕上がりも対応も全て大満足です。他のクリニックの先生より圧倒的に上手かったです。お値段は他のクリニックより良心的なのに技術が高いのがとても嬉しいです。腫れや痛みに悩まされることなく、スッキリとした目元になれたので感謝しています。
(4.0)
初めてクマ取りを受けましたがスタッフの方がとても丁寧だったので安心して施術を受けられました。痛みが心配でしたが先生の腕のおかげでほとんど感じませんでした。アフターフォローも丁寧で大変安心できましたし、ダウンタイムも苦しむことなくストレスなく過ごせました。
もっと見る
閉じる︿

新宿ラクル美容外科クリニック 新宿院のクマ取りの症例

Before
After
症例の詳細を見る
閉じる
【施術名】
目の下の切らないクマ取り
【施術詳細】

下眼瞼の内側に小さな穴を開け、脂肪を除去しクマを改善する施術

【価格】
171,050円(税込)
【副作用・リスク】

施術後より腫れ、血腫、痛み、むくみ、アレルギー反応がおこる

ルラ美容クリニック 新宿院

オーダーメイドの施術を得意としているクリニックです。その中でも二重整形・目の下のクマ取り・ヒアルロン酸注入など多くの症例数があり、技術力の高さに定評があります。

クリニックの様子
クリニックの様子
クリニックの様子

ルラ美容クリニック 新宿院のクマ取りの値段

  • 目の下のふくらみ取り スタンダード
    モニター価格 73,370円
  • 目の下のふくらみ取りスタンダード(目の下+ゴルゴラインの脂肪注入)
    モニター価格 220,000円
  • 切開ハムラ法
    モニター価格 440,000円
もっと見る
閉じる︿
  • 施術種類
    脂肪注入、ハムラ法
    支払い方法
    現金、クレジットカード、医療ローン

ルラ美容クリニック 新宿院の クマ取りの口コミ

(4.0)
会社の上司に通っている方から話を聞き、良さそうだったので伺いました。最初から最後までとにかく丁寧な対応に感動しました。理想通りセッ術をしてくれて大満足です。
もっと見る
閉じる︿

ルラ美容クリニック 新宿院のクマ取りの症例

Before
After
症例の詳細を見る
閉じる
【施術名】
目の下のふくらみ取り
【施術詳細】

下眼瞼の余分な脂肪を取り除くことで、クマを改善する施術

【価格】
110,000円(税込)
【副作用・リスク】

施術後より、腫れ、痛み、内出血などがある

新宿TAクリニック

目元や鼻の施術に特化したクリニックでは、カウンセリングに時間をかけ、施術後のイメージを共有してくれるため、要望に合った施術が可能です。加齢により目の下のたるみやクマ、シワが目立ち、老け顔に悩む方が増えています。目元の状態は見た目に大きく影響するため、まぶたのたるみやクマ、シワが気になる場合は、スキンケアだけでなく美容施術による若返りも検討する必要があります。

クリニックの様子
クリニックの様子
クリニックの様子

新宿TAクリニックのクマ取りの値段

  • 下眼瞼脱脂術(目の下のたるみ取り・目の下の脂肪ふくらみ取り)
    モニター価格 79,100円
  • 下眼瞼脱脂術(目の下のたるみ取り・目の下の脂肪ふくらみ取り)+脂肪注入(コンデンスリッチフェイス)
    モニター価格 198,000円
  • 裏ハムラ法
    660,000円
もっと見る
閉じる︿
  • 施術種類
    下眼瞼脱脂術、裏ハムラ法、脂肪注入
    支払い方法
    現金、銀行振込、デビットカード、クレジットカード、医療ローン

新宿TAクリニックの クマ取りの口コミ

(4.0)
他の治療と合わせて目の下のクマ取りの施術を受けました。初めてで緊張していましたが、先生達の感じが良く、安心・納得して施術を受けられました。
(4.0)
希望に沿ったクマ取りの施術など、より良いものもお勧めして下さりとても気持ちの良いカウンセリングをしていただきました。女性の先生ということもあり安心してお任せできました。担当して下さった看護師さんも受付の方もとても丁寧で また来たいと思いました。
(4.0)
新宿TAクリニックで奥津先生にクマ取りの施術をしていただきました。カウンセリング時から親身にお話やアドバイス、施術のご提案をしていただきました。他院で施術をした際、麻酔が効きにくい体質なのかほぼ効いていない状態での施術で効果も薄くトラウマになっていたのですが、しっかりと麻酔も効き痛みもなかったです。施術直後、かなり目元がスッキリされているのを感じます。
もっと見る
閉じる︿

新宿TAクリニックのクマ取りの症例

Before
After
症例の詳細を見る
閉じる
【施術名】
クマ取り
【施術詳細】

下眼瞼の内側から切開し、余分な脂肪を除去しクマを改善する施術

【価格】
79,100円
【副作用・リスク】

施術後より腫れや痛みがあり、数週間内出血がおこる

BELINDA CLINIC(べリンダクリニック)新宿院

院長は二重整形で有名なドクターで、クマ取りと二重を組み合わせた治療が人気です。芸能人からも信頼されているクリニックで安心です。目の下のクマは若い世代でも、暗い表情や疲れた印象を与える原因となります。眼窩脂肪を除去することで、明るい表情を取り戻せます。20代でも先天的に目の下の脂肪が多い方や眼輪筋が弱い方は、クマができやすいですが、クマ取りを行うことで涙袋も目立ち、愛らしい目元に変わります。

クリニックの様子
クリニックの様子
クリニックの様子

BELINDA CLINIC(べリンダクリニック)新宿院のクマ取りの値段

  • 目の下の切らないクマ取り スタンダード
    83,600円
  • 目の下の切らないクマ取り BELINDA style
    272,000円
もっと見る
閉じる︿
  • 施術種類
    経結膜脱脂法、脂肪注入
    支払い方法
    要問合せ

BELINDA CLINIC(べリンダクリニック)新宿院の クマ取りの口コミ

(4.0)
目元の治療が人気のあるこちらで脱脂をお願いしました。現在ダウンタイム中ですが、経過は良好でクマが綺麗に取れているので助かりました。
(4.0)
医師限定モニターでクマ取りをリーズナブルにやっていただきました。正確には麻酔などのオプションが入りましたが、十分満足できる価格でした。限定モニターの先生も安いから適当になるなんてことはなく、丁寧に診察していただき、仕上がりも綺麗でした。総合的に満足のいく結果です。
(4.0)
クマ取りの相談をしに行こうときめて予約した当日にカウンセリング→施術(裏ハムラ脂肪再配置)していただきました。術後痛みはほぼゼロ、ダウンタイムは片目だけ長く広範囲に内出血が続き不安な時もありましたが、3週間ほどで内出血は完全に消え気になっていたクマもキレイになくなり、本当にやって良かったと思っています。先生の腕は確かで信頼できます。
もっと見る
閉じる︿
  • 住所
  • アクセス
    新宿駅から徒歩3分、西武新宿駅から徒歩4分
  • 定休日
    不定休
  • 営業時間
    10:00~19:00
  • 電話番号
  • 診療形式
    自由診療
  • オンライン診療
    なし
  • BELINDA CLINIC(べリンダクリニック)新宿院の院長
    井上 真梨子 医師

新宿エルクリニック

シミ取り治療に特化しているクリニックです。メスを使用しない美容医療を掲げ、治療を案内しているので痛みが苦手な人にお勧めできます。

クリニックの様子
クリニックの様子

新宿エルクリニックのクマ取りの値段

  • サーマクールアイ 225shot
    1回127,400円
  • ヒアルロン酸注入 ジュビダームビスタ ボリューマXC(麻酔入)1CC
    101,900円
もっと見る
閉じる︿
  • 施術種類
    サーマクールアイ、ヒアルロン酸
    支払い方法
    現金、クレジットカード

新宿エルクリニックの クマ取りの口コミ

(4.0)
他のクリニックにはないサーマクールアイを受けたく、こちらに伺いました。初めてで不安でしたが、痛みのない治療に安心しました。効果もしっかりあり、満足です。
(4.0)
店内は清潔感があり、またスタッフの接客がとても丁寧だと思います。クマ取りでお世話になっていますが、施術も丁寧、声掛けもしっかりしてくれます。個人差はあると思いますが、自分は効果ありでした。女医さんの話し方も優しいです。
(4.0)
クマ取りの施術がとてもよかったです。どういう悩みを改善したいのかという希望と見合った施術を色々と説明して下さり、期間や組み合わせ等も教えてくれます。理想の仕上がりにしてくれて、本当に高い技術で施術を行ってくれる安心感があります。
もっと見る
閉じる︿

品川美容外科 新宿院

ハイレベルなスキルを持つ医師が複数在籍するクリニックでは、施術の仕上がりについて的確で分かりやすいアドバイスが受けられ、安心です。疲れた印象を与える目の下のたるみやクマ、ふくらみはお化粧では隠せない部分で、余分な脂肪を除去し、たるみを改善することで若々しい目元を取り戻せます。

クリニックの様子
クリニックの様子
クリニックの様子

品川美容外科 新宿院のクマ取りの値段

  • 目の下のクマ取り・目下のたるみ(ふくらみ)取り 両目
    108,900円
  • 目の下のふくらみ取りプレミアム 両目
    212,300円
もっと見る
閉じる︿
  • 施術種類
    要問合せ
    支払い方法
    現金、クレジットカード、デビットカード、メディカルローン

品川美容外科 新宿院の クマ取りの口コミ

(4.0)
長年悩まされているクマ治療の相談をした。クマの種類を教えてくれたのでどの治療が合っているかを提示してくれるので非常に助かった。
(4.0)
クマ取りの施術を受けてきました。数日はちょっと腫れたけど、スッと落ち着いてびっくりしました。痛みも全然なくて安心でした。清潔をきちんと管理されているので、トラブルもなく綺麗な目元になり満足しています。とても丁寧で安心感があって、任せてよかったなって思いました。
(4.0)
初めてクマ取りに挑むのに、カウンセリングを予約していましたが先生の臨機応変な対応で、遅刻でも快く受け答えしてくれました。先生も丁寧にお話してくださり、とても好感が持てました。変なオプション追加もなくクマ取りの値段も良心的でした。。仕上がりも満足できたし、対応力も高いレベルのクリニックです。
もっと見る
閉じる︿
  • 住所
  • アクセス
    京王線新宿駅から徒歩1分、JR新宿駅から徒歩3分
  • 定休日
    なし
  • 営業時間
    10:00~20:00
  • 電話番号
  • 診療形式
    自由診療
  • オンライン診療
    なし
  • 品川美容外科 新宿院の院長
    板井 徹也 医師

品川美容外科 新宿院のクマ取りの症例

もとび美容外科クリニック 新宿院

院長は15年以上の経歴があり、高い技術力を持っていると評判があり、症例数も多いです。また、痛みや腫れを最小限にする治療もしっかり案内します。

クリニックの様子
クリニックの様子
クリニックの様子

もとび美容外科クリニック 新宿院のクマ取りの値段

  • 目の下脂肪取り
    モニター価格 162,800円
  • 目の下のたるみとり(裏ハムラ法)
    モニター価格 348,000円
  • 目の下のたるみとり(ハムラ法)
    モニター価格 418,000円
もっと見る
閉じる︿
  • 施術種類
    脂肪除去、脂肪注入、ハムラ法、裏ハムラ法
    支払い方法
    現金、クレジットカード、デビットカード、医療ローン

もとび美容外科クリニック 新宿院の クマ取りの口コミ

(4.0)
インスタ等で症例写真を見た瞬間、ここだったら満足いく治療が出来るかと思い、受診しました。カウンセリングで十分な治療説明があり、丁寧且つ細やかな治療に大変満足です。
(4.0)
クマ取りの施術を受けました。院長先生が執刀してくれましたが、目の印象も良くなって表情が明るくなりとても満足です。術中など確認してくれたり、看護師さんの声掛けもスムーズです。まだ赤みがありますが、今でも綺麗な仕上がりなのでまた利用しようと思います。
(4.0)
3か月前に目の下のクマ取りを受けました。ずっと気になっていた生まれつきの目の下のクマがコンプレックスで、思い切って相談しました。先生が丁寧に術例を見せながら説明してくださったので安心して決断できました。施術自体は静脈麻酔だったので、寝ている間に終わり、目が覚めても痛みはありませんでした。看護師さんが寄り添ってくれたので安心しました。
もっと見る
閉じる︿

もとび美容外科クリニック 新宿院のクマ取りの症例

Before
After
症例の詳細を見る
閉じる
【施術名】
目の下クマとり(裏ハムラ)
【施術詳細】

下瞼の内側より、余分な眼窩脂肪を取り除く施術

【価格】
348,000円(税込)
【副作用・リスク】

施術後より一時的な痛みや腫れが生じる

ガーデンクリニック 新宿院

プチ整形や脂肪吸引など多様な施術を行っているクリニックです。美容整形に興味があるけれど手術に不安がある方も安心して受けられるメニューが豊富です。目の下のクマには、脂肪を採取し注入する方法があり、膨らみの下に影ができる黒クマには「下瞼脱脂法」と組み合わせることで、より明るくハリのある目元に改善します。

クリニックの様子
クリニックの様子
クリニックの様子

ガーデンクリニック 新宿院のクマ取りの値段

  • ニュープレミアムオートファイバー注入法
    253,000円
  • 下瞼脱脂法
    165,000円
  • クマ治療コンプリート法
    385,000円
もっと見る
閉じる︿
  • 施術種類
    注入法、下瞼脱脂法
    支払い方法
    現金、クレジットカード、医療ローン

ガーデンクリニック 新宿院の クマ取りの口コミ

(4.0)
彼女の紹介で何度か利用したことがある。最初から最後まで丁寧な対応、カウンセリングで安心感があった。クマ取りで定期的に通院していたが、悩んでいたクマもなくなった。
(4.0)
初めてのクマ取り施術で不安が大きかったですが、相談時からよくお話をして頂き、安心できました。こちらは先生の診察も始めから終わり、術後経過観察までしっかりされているのでそれもとても安心です。術後状態もまだ形成途中ですが、順調で、今後が楽しみです。
(4.0)
医師による説明もとても丁寧で、安心してクマ取りの施術を受けることができました。フォローアップ診察でも毎回小さな不明点を優しく回答頂けますし、おススメのクリニックです。相談ベースでも気軽に問い合わせが可能と思います。
もっと見る
閉じる︿

ガーデンクリニック 新宿院のクマ取りの症例

Before
After
症例の詳細を見る
閉じる
【施術名】
下瞼脱脂法
【施術詳細】

下瞼の内側から余分な脂肪を除去しクマを改善する施術

【価格】
330,000円(税込)
【副作用・リスク】

施術後より腫れ、内出血、かゆみなどが生じる

新宿中央クリニック

院内は白とこげ茶を基調の落ち着いた空間、待合室はプライバシーに配慮し、仕切りを設けているので安心です。全力でより正確・確実にをモットーに治療を実施しています。

クリニックの様子
クリニックの様子
クリニックの様子

新宿中央クリニックのクマ取りの値段

  • 脱脂(脂肪取り) 下まぶた(外側)
    198,000円
  • 下まぶたたるみ取り
    220,000円
もっと見る
閉じる︿
  • 施術種類
    脱脂法
    支払い方法
    要問合せ

新宿中央クリニックの クマ取りの口コミ

(4.0)
目元の治療を受けたく、初めて受診した。待つこと覚悟だったが、待たずに治療までスムーズだった。先生が私の悩みと目の部分をしっかり聞いてくれたので安心した。
(4.0)
平田先生にクマ取りをお願いして、人生が変わりました。クリニックを探している時、平田先生がどれだけ長く、この手術に取り組んでこられたかという実績を知って、ここに決めました。カウンセリングは、私の不安を察してくださって、一つ一つ丁寧に解消してくれました。特に術後のダウンタイムについても、これくらいの変化があるよと具体的に教えてもらえたので、焦らず過ごせました。この丁寧さも、ベテランの先生だからこそだと思います。
(4.0)
クマ取りをお願いしました。結果として、不安だったダウンタイムも乗り越えて、今はとても満足しています。先生は過度な提案をせず、私のクマの状態と希望を冷静に判断してくださったのが決め手でした。手術中も、看護師さんへの指示が的確で、テキパキと進んでいる様子が伝わり、逆に安心できました。仕上がりは、表情が不自然にならない絶妙な仕上がりです。技術力の高い先生に出会えてよかったです。
もっと見る
閉じる︿

水の森美容クリニック 新宿院

どんな悩みに対しても治療が出来るよう、豊富な治療メニューと高い技術力を持った医師たちが在籍しています。患者の立場に立ち、効果のある治療のみしか提案しません。

クリニックの様子
クリニックの様子

水の森美容クリニック 新宿院のクマ取りの値段

  • 目の下の脂肪取り
    214,500円
  • ハムラ法
    394,900円
  • 裏ハムラ法
    416,900円
もっと見る
閉じる︿
  • 施術種類
    脱脂、ハムラ法、裏ハムラ法
    支払い方法
    現金、振り込み、クレジットカード、医療ローン

水の森美容クリニック 新宿院の クマ取りの口コミ

(4.0)
初めての美容クリニックでしたが、カウンセリングでは納得いくまで説明と治療の提案をしてくれたので安心感がありました。友人からここを教えてもらって正解でした。
(4.0)
2週間ほど前にクマ取りの施術をしていただきました。当日急遽施術をお願いすることになったにも関わらず、とても丁寧にご対応いただき本当にありがとうございました。先生をはじめ、カウンセラーの里さん、看護師の中川さんが優しく接してくださり、とても安心して施術を受けることができました。
(4.0)
1ヶ月前過ぎにクマ取りの施術を受けさせてもらいました。受付の方も看護師さんも先生もみんな優しく雰囲気が良かったです。また施術前は緊張していましたが優しい声を何度もかけてくださったり、施術中ではほとんど痛みがなく、腫れも全くありませんでした。
もっと見る
閉じる︿

水の森美容クリニック 新宿院のクマ取りの症例

Before
After
症例の詳細を見る
閉じる
【施術名】
裏ハムラ法
【施術詳細】

下瞼の内側から切開し、クマの原因となる脂肪を取り除き症状を改善する施術

【価格】
416,900円(税込)
【副作用・リスク】

施術後より、痛み、腫れ、むくみ、目の違和感、発赤、まれに創部感染がある

A CLINIC 新宿院

小顔・リフトアップを専門としたクリニックです。男性ドクター・女性ドクターそれぞれ在籍しており、YouTubeなど治療について解説もしています。

クリニックの様子
クリニックの様子

A CLINIC 新宿院のクマ取りの値段

  • 目の下のたるみとり スタンダード ベーシック
    437,800円
  • 目の下の膨らみ取り スタンダード1箇所
    217,800円
もっと見る
閉じる︿
  • 施術種類
    要問合せ
    支払い方法
    現金、クレジットカード

A CLINIC 新宿院の クマ取りの口コミ

(4.0)
長年目の下クマが気になっており、美容外科なら治療できると聞いたのでこちらでお願いしました。今回目の下のふくらみ取りを受けましたが、15分で終わったので驚きました。
(4.0)
クマ取り施術をしました。初めての美容施術でしたが非常に丁寧で細かく教えて下さったため安心して受けられました。1ヶ月ほど経ちましたが経過も満足しています。次回もまたAクリニックさんにお願いしようかなと思っています。
(4.0)
両目のクマ取り施術をしていただきました。術後から2ヶ月経ちましたが自然な仕上がりで、周りからバレることもありませんでした。経過観察で撮った写真を見せてもらいましたが明らかな差があり、施術を受けて良かったなと思いました。先生も気さくな方で質問などしやすかったです。
もっと見る
閉じる︿

A CLINIC 新宿院のクマ取りの症例

Before
After
症例の詳細を見る
閉じる
【施術名】
目の下のふくらみ取り
【施術詳細】

下眼瞼の裏側を数ミリ切開し、クマの原因となっている余分な脂肪を除去する施術

【価格】
217,800円(税込)
【副作用・リスク】

施術後より痛み、腫れ、内出血、目の違和感、左右差などが生じまれに感染がおこる

セレクトクリニック 新宿院

経験豊富な医師ばかり在籍しており、それぞれ得意な治療があります。治療前は必ずリスクや副作用をしっかり伝えてから治療に入るので安心です。

クリニックの様子
クリニックの様子

セレクトクリニック 新宿院のクマ取りの値段

  • 下眼瞼脱脂術 (切らない目の下のたるみ取り)
    220,000円
  • 裏ハムラ法
    440,000円
  • 表ハムラ法
    605,000円
もっと見る
閉じる︿
  • 施術種類
    脱脂、ハムラ法、裏ハムラ法
    支払い方法
    要問合せ

セレクトクリニック 新宿院の クマ取りの口コミ

(4.0)
友人から評判が良いこちらにてクマ取りをお願いしました。施術はあっという間に終わり、ダウンタイムはあまり腫れずにすみました。仕上がりも納得いくもので大変良かったです。
(4.0)
立地は便利で、院内もとても綺麗でした。次の予定も聞いていただき、時間までに終わりますと何度も声掛けしていただきました。クマ取りの施術はとても丁寧で声掛けもたくさんしていただきありがたかったです。効果も抜群で、痛みも忘れるほど喜びの方が勝っています。
(4.0)
ありがとうございました。カウンセリングでは丁寧に悩みに寄り添ってくださる姿が印象的でした。また、クマ取り施術してくださった看護師の方も先生も非常に気さくで充実した時間を過ごすことができました。来てよかったと思います。
もっと見る
閉じる︿

ハナビューティークリニック

2020年7月にオープンしたばかりのクリニックです。患者の希望や個性、年齢、ライフスタイルなどを尊重したうえで治療に臨んでいます。

クリニックの様子
クリニックの様子
クリニックの様子

ハナビューティークリニックのクマ取りの値段

  • 目元のクマ取り
    258,000円
  • 目元のクマ取り+皮膚切除込み
    358,000円
もっと見る
閉じる︿
  • 施術種類
    脱脂法
    支払い方法
    現金、銀行振込、医療ローン、クレジットカード

ハナビューティークリニックの クマ取りの口コミ

(4.0)
口コミサイトで二重埋没やクマ取りが人気もあるということで予約して伺いました。男性でも気軽に通院できる環境が大変助かります。
(4.0)
クマ取りははじめてなので施術の提案についてやモチについてわかりませんが、メリットデメリットまでしっかりと説明してくださったので安心して受けられます。とっても理想的にしていただき、はじめてなので比べる先はありませんが個人的にはとっても満足です。緊張しがちなので丁寧にあやしていただきました。
(4.0)
西新宿杉江中央クリニックでクマの除去をして頂きました。スタッフの皆さんが優しく丁寧に対応してくださったので安心して施術を受けることが出来ました。麻酔の注射はチクっとしましたが、あとは全く痛みがなかったです。
もっと見る
閉じる︿

ハナビューティークリニックのクマ取りの症例

Before
After
症例の詳細を見る
閉じる
【施術名】
目の下のクマ取り
【施術詳細】

下瞼の内側から余分な脂肪を除去しクマを改善する施術

【価格】
258,000円(税込)
【副作用・リスク】

施術後より痛み、腫れ、かゆみ、むくみ、などが生じる

東京美容外科 新宿院

院長は形成外科専門医の資格を持ち、さまざまな治療法を提案できます。傷跡が綺麗で回復も早いと好評です。目の下の「膨らみ」に対する基本的な治療は、突出した眼窩脂肪を取り除くことです。経結膜アプローチ法では、まぶたの裏側から小さな穴をあけて脂肪を取り出し、皮膚を切らないため傷口が見えません。

クリニックの様子
クリニックの様子
クリニックの様子

東京美容外科 新宿院のクマ取りの値段

  • 経結膜アプローチ法 両目
    275,000円
  • 目の下のたるみ取り(ハムラ法) 両目
    440,000円
  • 目の下の脂肪再配置(裏ハムラ法) 両目
    605,000円
もっと見る
閉じる︿
  • 施術種類
    経結膜アプローチ法、ハムラ法、裏ハムラ法
    支払い方法
    現金、クレジットカード、デビットカード、医療ローン

東京美容外科 新宿院の クマ取りの口コミ

(4.0)
色々な先生がいますが、どの先生もクマ取り治療の説明をしっかり行い、分かりやすいです。また、手術の手際も良いので時間ない中でも通院しやすいです。
(4.0)
ずっと悩んでいた目の下のクマ取りをこちらで行いました。痛みもないし術後のケアも素晴らしくて大手のこちらでやって本当に良かったです。料金は驚くほど安くとは行かなくても、納得の施術内容でとても満足しています。ダウンタイムも電話で親切に対応してくれて、不安なら診察にきてくださいねと促してくれ安心できました。
(4.0)
冨田先生にクマ取りをしていただきました。看護師さんやスタッフの方々もとても親切で安心して毎回通えています。麻酔科の先生もとても優しくて手術時にとても安心できました。術後1週間ですが痛みも引いてきて仕上がりが楽しみです。
もっと見る
閉じる︿
  • 住所
  • アクセス
    新宿駅から徒歩30秒、新宿駅から徒歩3分
  • 定休日
    なし
  • 営業時間
    10:00~19:00
  • 電話番号
  • 診療形式
    自由診療
  • オンライン診療
    なし
  • 東京美容外科 新宿院の院長
    安田 康祐 医師

西新宿杉江中央クリニック

高い技術力を持った医師がしっかり対応するので安心です。痛みのない治療を意識しており、リラックス麻酔を導入しています。術後のアフターサービスも充実しています。

クリニックの様子
クリニックの様子
クリニックの様子

西新宿杉江中央クリニックのクマ取りの値段

  • 経結膜脱脂法
    275,000円
もっと見る
閉じる︿
  • 施術種類
    経結膜脱脂法
    支払い方法
    現金、クレジットカード、ローン、デビット(銀行口座からの翌日引き落とし)

西新宿杉江中央クリニックの クマ取りの口コミ

(4.0)
友人からの紹介を受け、目のクマ取り治療を行いました。術後、1週間程度のダウンタイムがありましたが、その後1ヶ月経った後は腫れも引き、クマもしっかり取れました。
(4.0)
クマ取りをしました。クリニックに入ってまずカウンセリングを受けました。先生によるカウンセリングもきちんとあり、治療や治療後のアフターケアについて丁寧に説明していただきました。その後治療をしていただきました。今後の経過が楽しみです。丁寧な説明と素早い施術が印象的なクリニックでした。
(4.0)
クマ取りの治療を受けました。美容クリニックに行った経験が今までなく不安だったのですが、カウンセリングもしっかり聞いてもらえて、治療もすぐに終わったので経過が楽しみです。麻酔をした箇所は痛みがなかったので思い切って除去しに来てよかったです。ありがとうございました。
もっと見る
閉じる︿

西新宿杉江中央クリニックのクマ取りの症例

Before
After
症例の詳細を見る
閉じる
【施術名】
経結膜脱脂法
【施術詳細】

下眼瞼を切開し、眼窩脂肪を取り除きクマやたるみを改善する施術

【価格】
217,000円(税込)
【副作用・リスク】

施術後より、腫れ、むくみ、痛み、まれに創部感染がある

東京イセアクリニック

患者に寄り添い、専門スタッフがしっかりとしたアドバイスを行っています。また、日本形成外科学会の連携施設に認定されているので安心・安全の治療を受けられます。

クリニックの様子
クリニックの様子
クリニックの様子

東京イセアクリニックのクマ取りの値段

  • 下眼瞼脱脂(経結膜) 両目
    295,000円
  • 裏ハムラ法
    445,000円
  • 表ハムラ法
    545,000円
もっと見る
閉じる︿
  • 施術種類
    脱脂法、ハムラ法、裏ハムラ法
    支払い方法
    現金、クレジットカード、医療ローン

東京イセアクリニックの クマ取りの口コミ

(4.0)
HPにクマ取り治療の症例が男女問わずあり、信頼できると思い、通院を始めました。対応も丁寧なので初めてがここで良かったです。おかげでクマが綺麗になくなりました。
(4.0)
キャンペーンでクマ取り施術をしました。カウンセリングから先生が対応してくださるので安心です。カウンセリングの時に何度も納得するまで完成イメージを打ち合わせできたのが良かったです。仕上がりは大変満足いくものでした。ありがとうございました。
(4.0)
目の下のクマ取りを受けました。初めての施術でしたが、丁寧なカウンセリングのおかげで不安なく挑めました。目の下のふくらみがなくなるだけで全く印象が変わりもっと早く受けていれば良かったです。ダウンタイム中はあったものの、手術をしたことは誰にも気づかれなかったです。受けてほんと良かったです。
もっと見る
閉じる︿

東京イセアクリニックのクマ取りの症例

Before
After
症例の詳細を見る
閉じる
【施術名】
下眼瞼脱脂+除皺術
【施術詳細】

下瞼の下を切開し余分な脂肪と皮膚を切除する施術

【価格】
445,000円 (税込)
【副作用・リスク】

施術後より腫れ、内出血、痛みが生じる

KM新宿クリニック

治療をするにあたり、患者とのコミュニケーションを大事にしています。そのおかげかリピート率が90%以上ある信頼できるクリニックです。

クリニックの様子
クリニックの様子
クリニックの様子

KM新宿クリニックのクマ取りの値段

  • 下眼瞼脱脂
    308,000円
  • 下眼瞼切開(皮膚のたるみ)
    352,000円
もっと見る
閉じる︿
  • 施術種類
    脱脂
    支払い方法
    現金、クレジットカード、医療ローン

KM新宿クリニックの クマ取りの口コミ

(4.0)
最初から最後まで丁寧な対応に感動しました。肌の変化やクマについてなど知識を分かりやすく解説してくれたので安心できました。
(4.0)
クマ取りで通わせていただいています。気になることがあれば丁寧に相談に乗っていただけるので、とても安心感があります。押し売りのようなことが一切なく、信頼できるクリニックさんだと思います。料金も良心的で対応も親切で、丁寧な説明で恐怖心を解消してくれました。おかげで目のクマ取りも安心して挑めました。
(4.0)
複数の同様のお店に通った結果、こちらKM新宿クリニックはとにかくクマ取りの技術が凄く、他では不可能な細かい部分まで施術してくれます。又お店の雰囲気や綺麗さスタッフさんの対応トータルで一番良いです。料金は格安ではありませんが、妥当もしくは、料金以上の効果ありと私は思います。信用出来るKM新宿クリニックがオススメです。
もっと見る
閉じる︿

SHERIE CLINIC新宿本院

金曜日のみですが、22時まで診療対応しているので仕事が忙しい方でも通院が可能です。また、当日予約も可能です。治療も最適な治療のみしか提案しないので安心です。

クリニックの様子
クリニックの様子
クリニックの様子

SHERIE CLINIC新宿本院のクマ取りの値段

  • たるみ取り(脂肪除去・骨膜固定含む)両目
    657,800円
  • 裏ハムラ 両目
    712,800円
  • 下眼瞼脱脂 目の下 両目
    327,800円
もっと見る
閉じる︿
  • 施術種類
    脂肪除去、ハムラ法、裏ハムラ法、脱脂
    支払い方法
    現金、クレジットカード、メディカルローン

SHERIE CLINIC新宿本院の クマ取りの口コミ

(4.0)
クマ取り治療が気になり、相談だけでもと思い、伺いました。細かな説明をしてくれたおかげで納得して施術を受けられました。施術中も安心できるような声掛けに助かりました。
(4.0)
最初のカウンセリングやクマ取りの施術、ご案内等が的確で丁寧でしたので契約を決めました。皆さん親切で親身になってくださいますので通いやすいです。ダウンタイム中の電話でのフォローも親切で安心して過ごしました。
(4.0)
みなさん気さくにお話ができて、先生たちのクマ取り施術の腕も確かです。眉下切開は本当に綺麗にやっていただけました。ヒアルロン酸もボトックスも本当にバランス良く顔を作ってくれました。おすすめクリニックです。
もっと見る
閉じる︿

SHERIE CLINIC新宿本院のクマ取りの症例

Before
After
症例の詳細を見る
閉じる
【施術名】
下眼瞼脱脂術(くま取り)
【施術詳細】

下瞼の裏側の結膜を切開し、脂肪を取り除きクマを改善する施術

【価格】
327,800円(税込)
【副作用・リスク】

施術後より、痛み、腫れ、むくみ、眼窩周囲の発赤、まれに創部感染がおこる

城本クリニック 新宿院

全国に25院を展開、30年以上の歴史と実績をもつ美容外科です。 経験豊富な医師が安全を第一に考え、施術を行っているので安心できます。

クリニックの様子
クリニックの様子
クリニックの様子

城本クリニック 新宿院のクマ取りの値段

  • 経結膜脱脂
    330,000円
  • 目の下のたるみ取り
    385,000円
もっと見る
閉じる︿
  • 施術種類
    経結膜脱脂法
    支払い方法
    現金、クレジットカード、医療ローン

城本クリニック 新宿院の クマ取りの口コミ

(4.0)
有名なクリニックということもあり、口コミサイトなどを参考に伺いました。初回から看護師さんや先生の対応が丁寧で安心できました。雰囲気も良く、初診でも通院しやすいです。
(4.0)
先生は誠実そうで信頼できそうだと思ったのでクマ取りをおまかせしました。カウンセリングもこれまで色々なクリニックに行きましたが、一番誠実でした。オペ結果ですが、まだダウンタイムですが満足しています。緻密な施術でもこちらを気遣う余裕のある先生で安心しました。腫れが引くのが楽しみです。
(4.0)
クマ取りをお願いしましたが、総じて親身に対応していただきました。担当の看護師さんが待ち時間がなるべく少なくなるように考えてくださったり、次の日仕事と伝えるとなるべく腫れが引く方法を考えてくださいました。医師の先生も質問に答えてくださり、最後も何かあればまた来てくださいととても安心感のある対応でした。
もっと見る
閉じる︿

城本クリニック 新宿院のクマ取りの症例

Before
After
症例の詳細を見る
閉じる
【施術名】
軽結膜脱脂法
【施術詳細】

下瞼の結膜から、眼窩脂肪を取り除きクマを改善する施術

【価格】
330,000円
【副作用・リスク】

施術後より痛み、腫れ、むくみ、かゆみ、まれに内出血がおこる

新宿美容外科クリニック 新宿院

新宿に加え、立川・横浜にあるクリニック。それぞれに異なるおすすめプランを用意しています。スタッフは、可能な限り自身も施術を行った経験があるので相談しやすいです。

クリニックの様子
クリニックの様子

新宿美容外科クリニック 新宿院のクマ取りの値段

  • 下まぶたのたるみ取り 脱脂法 両目
    330,000円
  • 脂肪注入法 目の下
    440,000円
  • ハムラ法 両目
    440,000円
もっと見る
閉じる︿
  • 施術種類
    脱脂法、脂肪注入、ハムラ法
    支払い方法
    現金、クレジットカード、医療ローン

新宿美容外科クリニック 新宿院の クマ取りの口コミ

(4.0)
クマ取り治療をしてもらおうと前日の連絡にも関わらず、翌日の予約が出来たので助かりました。カウンセリングも大変丁寧で納得した上で施術を受けられて大満足です。
(4.0)
カウンセリングの方がとても丁寧にクマ取りの説明をしてくださったので、きちんと理解できました。その後施術に入りましたが麻酔を一箇所ごとしっかり打ってくれたので痛みもなく、この箇所だけもう一回必要かな?と言葉を添えてくれたので、術中、術後の不安も無かったです。
(4.0)
初めてこちらのクリニックを利用しましたが、スタッフの皆さんがとても丁寧で安心しました。クマ取りのカウンセリングでは不安な点を一つひとつ説明してくださり、施術中も声をかけながら進めてくれたのでリラックスできました。
もっと見る
閉じる︿
  • 住所
  • アクセス
    新宿三丁目駅からすぐ、JR新宿駅から徒歩5分
  • 定休日
    なし
  • 営業時間
    【月~金】10:00~20:00 【土日祝】10:00~19:00
  • 電話番号
  • 診療形式
    自由診療
  • オンライン診療
    あり

新宿美容外科クリニック 新宿院のクマ取りの症例

Before
After
症例の詳細を見る
閉じる
【施術名】
目の下のたるみ取り(脱脂法)
【施術詳細】

下眼瞼の内側を切開し、眼窩脂肪を取り除きクマを改善する施術

【価格】
330,000円(税込)
【副作用・リスク】

施術後よりむくみ、腫れ、内出血がおこり痛みが生じる

Column

コラム

診療予約受付中