
渋谷で安くクマ取り治療ができるメンズにおすすめの人気クリニックや美容皮膚科ご紹介します。
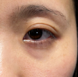
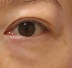
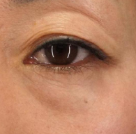
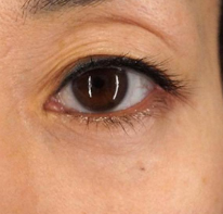
目の下のクマやたるみの改善が可能で、茶クマ・青クマにも効果があり男性にも人気の施術です。
治療メニューや手術方法は様々ですので、値段や口コミなどを参考に是非自分に合ったクリニックを選んでください。
渋谷でメンズクマ取りにおすすめのクリニック
| クリニック | 男性専用 | 最安値メニュー | 最安値金額 | 取扱施術 | 詳細 |
|---|---|---|---|---|---|
男性おすすめ!![]() TCB東京中央美容外科 渋谷東口院 | ◯ | 切らない目の下のクマ・たるみ取り | 83,600円 | 切らない目の下のクマ取り(経結膜脱脂法)・クマ取り再生注射 | 詳細 |
![]() 湘南美容クリニック 渋谷院 | ◯ | クマ取りモニター | 63,280円 | 目の下の切らないクマ・たるみ取り(経結膜脱脂法) | 詳細 |
![]() 品川スキンクリニック 渋谷院 | ー | 美肌注射プレミアム | 5,500円 | クマ取り(経結膜脱脂術)・第3世代タイタン | 詳細 |
![]() シロノクリニック 恵比寿 | ー | ヤグレーザーピーリング | 22,000円 | Qスイッチヤグレーザー・フォトシルクプラス | 詳細 |
![]() ルラ(LULA)美容クリニック渋谷院 | ー | クマ取り スタンダード | 43,780円 | 経結膜脱脂法・脂肪注入 | 詳細 |
![]() 渋谷フェミークリニック | ー | 【顔全体】レーザートーニング | 22,000円 | サーマクールアイ・ヒアルロン酸注射・レーザートーニング | 詳細 |
TCB東京中央美容外科渋谷東口院は、男性向けの美容医療にも力を入れており、男性でも通いやすいクリニックです。HPでは男性のクマ取りの症例写真が豊富に掲載されています。このクリニックのクマ取り治療は、切開やダウンタイムが不要で、瞬時に悩みを解消できる業界でも珍しい施術です。術後のリスクも徹底的に管理され、メイクや日常ケアでは隠しきれないクマを一瞬で改善し、明るい目元を取り戻します。

※Googlemapの口コミから一部抜粋
個人の感想であり、効果を保証するものではありません。


湘南美容クリニック渋谷院には経験豊富な医師が在籍しており、全国展開のクリニックで男性の症例写真も多数確認できます。眼窩脂肪を取り除くことで目元の印象を若返らせる治療を提供。適切な脂肪除去で老けた印象を解消し、1回の治療で半永久的な効果が期待できます。悩んでいた目元と翌週にはサヨナラ!

※Googlemapの口コミから一部抜粋
個人の感想であり、効果を保証するものではありません。


品川スキンクリニック渋谷院では、クマの状態に応じた複数の治療方法が用意されており、品川グループの美容クリニックで安心です。睡眠不足や疲れだけでなく、常に現れる厄介なクマも対応。医師の診察のもとで適切な治療を受けることが改善への第一歩です。繰り返しできるクマに悩む方に、美容皮膚科ならではの治療を提案します。

※Googlemapの口コミから一部抜粋
個人の感想であり、効果を保証するものではありません。


シロノクリニックは、レーザー治療を中心にエイジングケアを専門とするクリニックです。加齢によるクマの治療を希望する方に特におすすめです。ほうれい線や目尻のしわ、加齢による頬のたるみなどには、ヒアルロン酸を直接注入します。注入直後から肌のハリと弾力が回復し、しわが改善されます。定期的な注入によって、しわやたるみができにくい若々しい肌を実現します。
※Googlemapの口コミから一部抜粋
個人の感想であり、効果を保証するものではありません。


ルラ(LULA)美容クリニック渋谷院には、多くの専門医が在籍しています。院の周りは静かな立地なので、落ち着いているのでガヤガヤしたのが苦手な方におすすのクリニックです。

※Googlemapの口コミから一部抜粋
個人の感想であり、効果を保証するものではありません。


渋谷フェミークリニックでは、クマの種類に応じた効果的な治療を提供しています。切開治療は行わず、主にレーザーと注射を使用。費用を抑えたい方にもおすすめです。丁寧なカウンセリングと細やかな診察でクマの種類を正確に判断し、その結果に基づいた「オーダーメイド治療」で、個々の症状に最適な改善を目指します。
※Googlemapの口コミから一部抜粋
個人の感想であり、効果を保証するものではありません。
宮益坂クリニックでは長年、悩まされているコンプレックスがある方や初めての美容整形を検討している方へおすすめ。また、エイジングケアも行なっているので通院を考える方にもおすすめです。
※Googlemapの口コミから一部抜粋
個人の感想であり、効果を保証するものではありません。


渋谷高野美容医院は、モニター価格が用意されているのでお得に受けたい・初めて美容医療を受けたい方におすすめです。また価格設定も比較的、安価なので低予算で考えている方でも安心です。
※Googlemapの口コミから一部抜粋
個人の感想であり、効果を保証するものではありません。


アンジークリニックの内観はとても白黒の落ち着いた空間で、メンズでも通いやすい雰囲気です。HPからは症例写真も確認できるので、ご自身に近い症状と比較できます。
※Googlemapの口コミから一部抜粋
個人の感想であり、効果を保証するものではありません。


ダヴィンチビューティークリニックは、スクランブル交差点の目の前なので好立地です。患者に合わせたクマ取り治療を受けることができます。またモニター価格も用意されています。
※Googlemapの口コミから一部抜粋
個人の感想であり、効果を保証するものではありません。


渋谷の森クリニックでは、脂肪が原因で現れるクマ取りの治療を受けることができます。丁寧なカウンセリング・施術で口コミ評価も高い有名なクリニックです。
※Googlemapの口コミから一部抜粋
個人の感想であり、効果を保証するものではありません。


アサミ美容クリニックは、アットホームな雰囲気で通いやすいクリニック。施術別に保証制度が設けられているので、もし万が一トラブルがあっても安心です。
※Googlemapの口コミから一部抜粋
個人の感想であり、効果を保証するものではありません。
渋谷美容外科クリニックでは、クマ取りをすることで疲れた印象や目元のシワを改善する効果を期待できます。また専門性の高い、形成外科の専門医が治療を行なってくれます。
※Googlemapの口コミから一部抜粋
個人の感想であり、効果を保証するものではありません。


シロノクリニックは、レーザー治療を中心にエイジングケアを専門とするクリニックです。加齢によるクマの治療を希望する方に特におすすめです。ほうれい線や目尻のしわ、加齢による頬のたるみなどには、ヒアルロン酸を直接注入します。注入直後から肌のハリと弾力が回復し、しわが改善されます。定期的な注入によって、しわやたるみができにくい若々しい肌を実現します。
※Googlemapの口コミから一部抜粋
個人の感想であり、効果を保証するものではありません。



TCB東京中央美容外科渋谷東口院は、男性向けの美容医療にも力を入れており、男性でも通いやすいクリニックです。HPでは男性のクマ取りの症例写真が豊富に掲載されています。このクリニックのクマ取り治療は、切開やダウンタイムが不要で、瞬時に悩みを解消できる業界でも珍しい施術です。術後のリスクも徹底的に管理され、メイクや日常ケアでは隠しきれないクマを一瞬で改善し、明るい目元を取り戻します。

※Googlemapの口コミから一部抜粋
個人の感想であり、効果を保証するものではありません。



渋谷フェミークリニックでは、クマの種類に応じた効果的な治療を提供しています。切開治療は行わず、主にレーザーと注射を使用。費用を抑えたい方にもおすすめです。丁寧なカウンセリングと細やかな診察でクマの種類を正確に判断し、その結果に基づいた「オーダーメイド治療」で、個々の症状に最適な改善を目指します。
※Googlemapの口コミから一部抜粋
個人の感想であり、効果を保証するものではありません。

品川スキンクリニック渋谷院では、クマの状態に応じた複数の治療方法が用意されており、品川グループの美容クリニックで安心です。睡眠不足や疲れだけでなく、常に現れる厄介なクマも対応。医師の診察のもとで適切な治療を受けることが改善への第一歩です。繰り返しできるクマに悩む方に、美容皮膚科ならではの治療を提案します。

※Googlemapの口コミから一部抜粋
個人の感想であり、効果を保証するものではありません。



ルラ(LULA)美容クリニック渋谷院には、多くの専門医が在籍しています。院の周りは静かな立地なので、落ち着いているのでガヤガヤしたのが苦手な方におすすのクリニックです。

※Googlemapの口コミから一部抜粋
個人の感想であり、効果を保証するものではありません。


湘南美容クリニック渋谷院には経験豊富な医師が在籍しており、全国展開のクリニックで男性の症例写真も多数確認できます。眼窩脂肪を取り除くことで目元の印象を若返らせる治療を提供。適切な脂肪除去で老けた印象を解消し、1回の治療で半永久的な効果が期待できます。悩んでいた目元と翌週にはサヨナラ!

※Googlemapの口コミから一部抜粋
個人の感想であり、効果を保証するものではありません。



アサミ美容クリニックは、アットホームな雰囲気で通いやすいクリニック。施術別に保証制度が設けられているので、もし万が一トラブルがあっても安心です。
※Googlemapの口コミから一部抜粋
個人の感想であり、効果を保証するものではありません。
渋谷高野美容医院は、モニター価格が用意されているのでお得に受けたい・初めて美容医療を受けたい方におすすめです。また価格設定も比較的、安価なので低予算で考えている方でも安心です。
※Googlemapの口コミから一部抜粋
個人の感想であり、効果を保証するものではありません。


ダヴィンチビューティークリニックは、スクランブル交差点の目の前なので好立地です。患者に合わせたクマ取り治療を受けることができます。またモニター価格も用意されています。
※Googlemapの口コミから一部抜粋
個人の感想であり、効果を保証するものではありません。


宮益坂クリニックでは長年、悩まされているコンプレックスがある方や初めての美容整形を検討している方へおすすめ。また、エイジングケアも行なっているので通院を考える方にもおすすめです。
※Googlemapの口コミから一部抜粋
個人の感想であり、効果を保証するものではありません。


渋谷の森クリニックでは、脂肪が原因で現れるクマ取りの治療を受けることができます。丁寧なカウンセリング・施術で口コミ評価も高い有名なクリニックです。
※Googlemapの口コミから一部抜粋
個人の感想であり、効果を保証するものではありません。


アンジークリニックの内観はとても白黒の落ち着いた空間で、メンズでも通いやすい雰囲気です。HPからは症例写真も確認できるので、ご自身に近い症状と比較できます。
※Googlemapの口コミから一部抜粋
個人の感想であり、効果を保証するものではありません。


渋谷美容外科クリニックでは、クマ取りをすることで疲れた印象や目元のシワを改善する効果を期待できます。また専門性の高い、形成外科の専門医が治療を行なってくれます。
※Googlemapの口コミから一部抜粋
個人の感想であり、効果を保証するものではありません。

